症例詳細
Case detail
破折して抜歯となった奥歯 抜歯即時埋入・即時荷重インプラントによる補綴治療
治療症例の内容
- 診療科目
- 治療カテゴリ
- 担当医
- 藤巻太一朗(ドクタープロフィール)
- 患者様
- 50代女性
- 治療期間
- 3ヶ月
- 治療回数
- 2-5回
- 治療計画
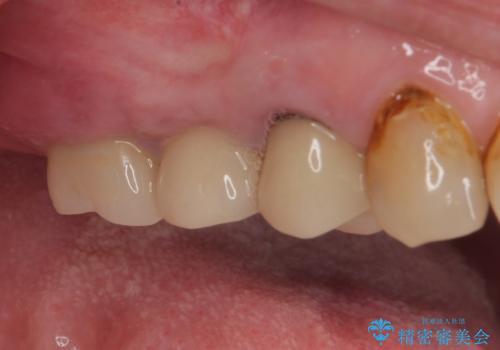
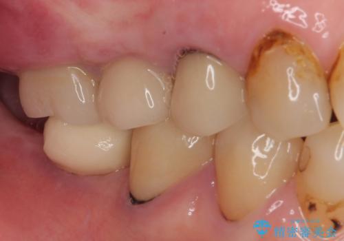
- 奥歯の歯茎が腫れているとのことで来院された患者様です。
奥歯の歯根が破折している可能性が高く、破折している場合には抜歯となるため、本当に破折しているのか確認をしてほしいとのことでした。
歯肉を開いて確認をしたところ、著しく骨欠損しており、目視でも歯根破折が確認されました。
3つある歯根の内、1つのみに骨欠損がある状態で、インプラント埋入に十分な骨の状態でした。
抜歯即時埋入・即時荷重の適応と判断されたため、インプラントによる補綴治療を行うこととしました。
- 費用(概算)
- 50万円(税込)費用は治療当時の料金となります
治療について
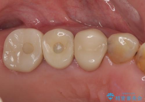
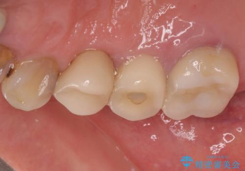
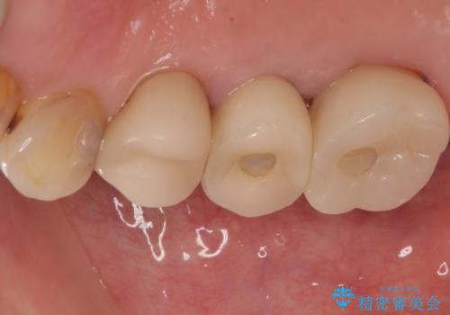
埋入時に十分な安定値が獲得でき、埋入した際に仮歯を装着することができました。
術後の経過は安定しており、抜歯から3ヶ月で治療を終えることができました。
インプラント治療の注意事項(リスク・副作用など)
- 外科手術のため、術後に痛みや腫れ、違和感を伴います
- メンテナンスを怠ったり喫煙により、お口の中に大きな悪影響を及ぼすインプラント周囲炎等にかかる可能性があります
- 糖尿病、肝硬変、心臓病等の場合、インプラント治療ができない可能性があります
- 高血圧、貧血・不整脈等の場合、インプラント治療後に治癒不全を招く可能性があります
- 自費診療(保険適用外治療)となります
セラミック治療の注意事項(リスク・副作用など)
- 天然歯を削ります
- 硬い素材は天然歯を傷つけてしまう場合があります
- かみ合わせや歯ぎしりが強すぎる方はセラミックが割れてしまう可能性があります
- 自費診療(保険適用外治療)となります
当サイトの内容、テキスト、画像等の無断転載、複製、複写、盗用を固く禁じます。














