症例詳細
Case detail
親知らずを抜きたい
治療症例の内容
- 診療科目
- 治療カテゴリ
- 担当医
- 長嶋美咲(ドクタープロフィール)
- 患者様
- 20代男性
- 治療期間
- 治療回数
- 1回
- 治療計画
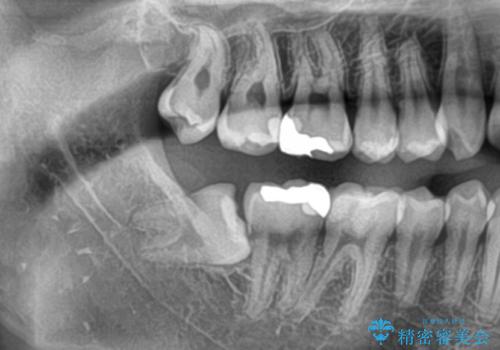
- 親知らずが痛くて抜きたいと来院。
CTを撮影し、神経の位置など確認し安全なことを確認して抜歯を行いました。
抜歯は当日行う事が出来ます。
- 費用(概算)
- 保険診療費用は治療当時の料金となります
治療について
親知らずを長年放置すると、手前の歯が虫歯になるリスクが上がります。
そのようになる前に抜歯することをお勧めします。
保険治療の注意事項(リスク・副作用など)
- 保険医が保険医療機関において健康保険法、医師法、医療法等の各種関係法令の規定を遵守し、『療養担当規則』の規定を遵守し、医学的に妥当適切な診療を行い、診療報酬点数表に定められたとおりに請求を行っています
- 使用する材料・素材や治療方法に制約があります
- 健康保険適用となります
外科処置の注意事項(リスク・副作用など)
- 外科手術のため、術後に出血、痛みや腫れ、違和感を伴います
- 口腔内の状態によっては適応できないことがあります
当サイトの内容、テキスト、画像等の無断転載、複製、複写、盗用を固く禁じます。







