症例詳細
Case detail
クリーニングでスッキリ!
治療症例の内容
- 診療科目
- 治療カテゴリ
- 患者様
- 60代男性
- 治療期間
- 1ヶ月
- 治療回数
- 2-5回
- 治療計画
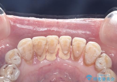
- 歯周病が進行されていているため歯肉が下がり歯根も露出してるためブラッシングが大変とのこと。
プラークや歯石が付着しやすい。
歯茎の中にもある歯石を何回かに分けて除去。
磨いているが磨けていない状況が分かりブラッシング指導や定期的なメンテナンスの重要性を理解されていました。
- 費用(概算)
- 3000円から5000円[保険でのメンテナンス]費用は治療当時の料金となります
治療について
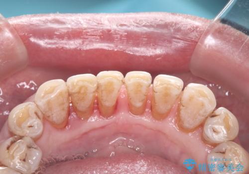
中程度から重度の歯周病で初期治療が終わりこれから定期的なメンテナンスをしていく予定です。
PMTCの注意事項(リスク・副作用など)
- 歯を白くする目的の施術ではありません
- 保険適用外となります
当サイトの内容、テキスト、画像等の無断転載、複製、複写、盗用を固く禁じます。


