症例詳細
Case detail
根元から折れてしまった歯をどうする?矯正かインプラントかを比較検討した症例
治療症例の内容
- 診療科目
- 担当医
- 齋藤佑磨(ドクタープロフィール)
- 患者様
- 20代女性
- 治療期間
- 4ヶ月
- 治療回数
- 2-5回
- 治療計画
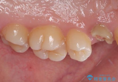
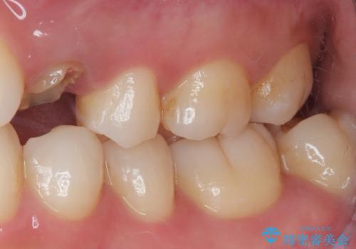
- 以前他院で、左上小臼歯(前から4番目)の虫歯治療を受けた患者様が、歯の根元から歯が折れてしまったことを主訴に来院されました。
他院では「抜歯が必要」と診断されており、「どうせ抜歯になるなら、矯正治療でスペースを閉じられないか」というご相談でした。
左上の小臼歯は健全な歯質が薄く将来的な歯根破折リスクが高く予後不良で、叢生(歯並びの乱れ)はほとんどなくご本人も歯並び自体は気になっていないという状態でした。
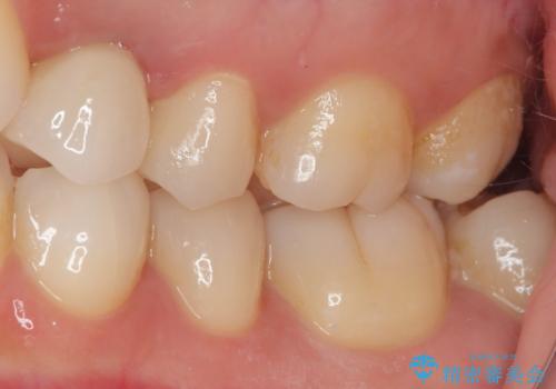
左上小臼歯を抜歯し、矯正治療でスペースを閉じる方法と左上小臼歯を抜歯し、抜歯即時インプラントを行う方法、保存療法を行う方法の治療期間、費用、メリット・デメリットについて説明したうえで治療期間をできるだけ短くしたいという希望があったため抜歯即時インプラント治療を選択されました。
- 費用(概算)
- 48万円(税込)費用は治療当時の料金となります
治療について
矯正・インプラント・保存治療を含めた総合的な診断によって、患者様に合った選択肢が見つかることがあります。
治療法は一つではありません。お悩みの方は、ぜひ一度ご相談ください。
インプラント治療の注意事項(リスク・副作用など)
- 外科手術のため、術後に痛みや腫れ、違和感を伴います
- メンテナンスを怠ったり喫煙により、お口の中に大きな悪影響を及ぼすインプラント周囲炎等にかかる可能性があります
- 糖尿病、肝硬変、心臓病等の場合、インプラント治療ができない可能性があります
- 高血圧、貧血・不整脈等の場合、インプラント治療後に治癒不全を招く可能性があります
- 自費診療(保険適用外治療)となります
当サイトの内容、テキスト、画像等の無断転載、複製、複写、盗用を固く禁じます。











