症例詳細
Case detail
過大な力で折れた失活歯 セラミックブリッジ治療
治療症例の内容
- 診療科目
- 治療カテゴリ
- 担当医
- 大元洋佑(ドクタープロフィール)
- 患者様
- 50代男性
- 治療期間
- 3ヶ月
- 治療回数
- 2-5回
- 治療計画
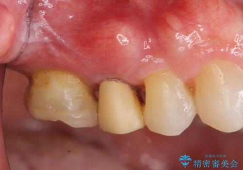
- かぶせてある歯が数日前からぐらぐらするので付け直してほしい、と希望され来院されました。
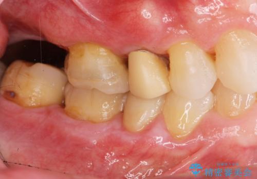
かぶせ(以下クラウン)を外してみたところ、神経のない支台となる歯が折れてしまい抜歯を余儀なくされる状況でした。
抜去後の機能回復方法としてインプラント、入れ歯以外の方法を希望されたためブリッジでの咬合機能回復を行っていくこととなりました。
- 費用(概算)
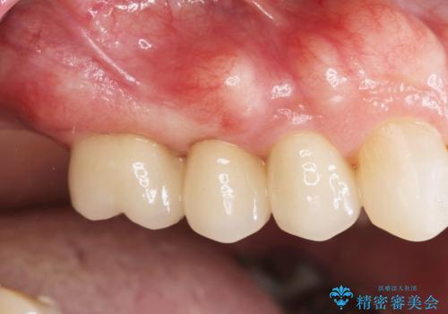
- 39.6万円(ジルコニアクラウン×3・仮歯×3)費用は治療当時の料金となります
治療について
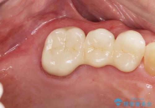
審美的かつ、噛みやすい仕上がりに満足いただくことができました。
今後最後方臼歯がないためブリッジに対する力が過大とならないよう噛み合わせの変化を注視する必要があります。
セラミック治療の注意事項(リスク・副作用など)
- 天然歯を削ります
- 硬い素材は天然歯を傷つけてしまう場合があります
- かみ合わせや歯ぎしりが強すぎる方はセラミックが割れてしまう可能性があります
- 自費診療(保険適用外治療)となります
当サイトの内容、テキスト、画像等の無断転載、複製、複写、盗用を固く禁じます。












