症例詳細
Case detail
露出した歯根が気になる 歯肉移植による根面被覆術
治療症例の内容
- 診療科目
- 治療カテゴリ
- 担当医
- 藤巻太一朗(ドクタープロフィール)
- 患者様
- 30代女性
- 治療期間
- 3ヶ月
- 治療回数
- 2-5回
- 治療計画
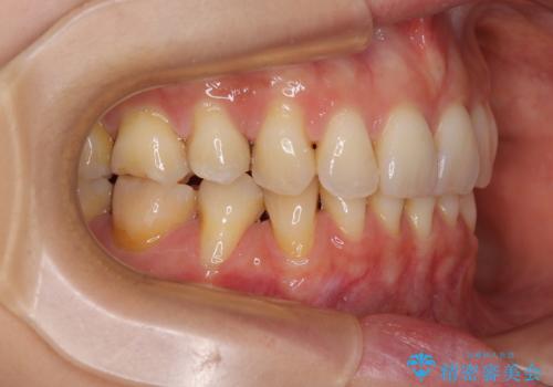
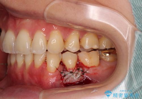
- 歯肉が薄く、退縮して露出した歯根を気にして来院された患者様です。
元々歯肉が非常に薄いことが推察され、抜歯矯正による移動が大きかったのか、歯肉が退縮している状態でした。
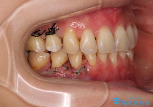
口蓋(上顎の内側)から採取した結合組織(歯肉の内側の組織)を移植することによる、根面被覆術を行うこととしました。
- 費用(概算)
- 28万円(税込)費用は治療当時の料金となります
治療について
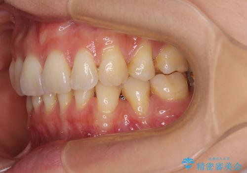
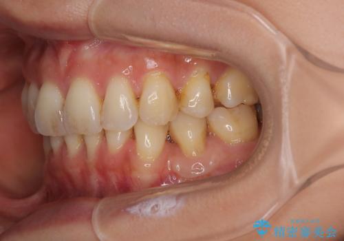
移植片には、極力角化歯肉が多く残るようにし、被覆するだけでなく、歯肉の厚みを増やし、角化歯肉を回復させることができました。
外科処置の注意事項(リスク・副作用など)
- 外科手術のため、術後に出血、痛みや腫れ、違和感を伴います
- 口腔内の状態によっては適応できないことがあります
当サイトの内容、テキスト、画像等の無断転載、複製、複写、盗用を固く禁じます。










