症例詳細
Case detail
『舌小帯形成術』 ベロの動きを良くして滑舌を改善したい
治療症例の内容
- 診療科目
- 治療カテゴリ
- 担当医
- 大元洋佑(ドクタープロフィール)
- 患者様
- 40代男性
- 治療期間
- 1日
- 治療回数
- 2-5回
- 治療計画
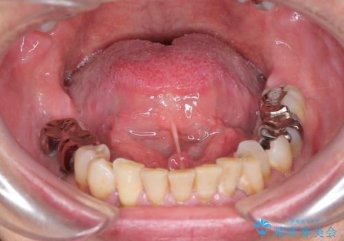
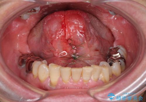
- 舌の動きが制限され、滑舌を改善したい、と希望され来院されました。
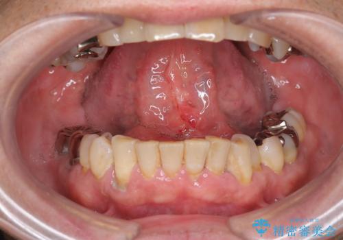
舌小帯形成術を行うことで、滑舌の改善を図ります。形成術は約5分程度で終了し、1週間後に抜糸を行い治療は終了となります。
- 費用(概算)
- 33000費用は治療当時の料金となります
治療について
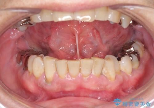
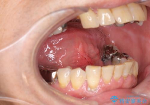
術後、舌の動きが改善され滑舌の改善を実感することができました。
外科処置の注意事項(リスク・副作用など)
- 外科手術のため、術後に出血、痛みや腫れ、違和感を伴います
- 口腔内の状態によっては適応できないことがあります
当サイトの内容、テキスト、画像等の無断転載、複製、複写、盗用を固く禁じます。








