症例詳細
Case detail
奥歯にセラミックを入れたい セラミックインレー
治療症例の内容
- 診療科目
- 治療カテゴリ
- 担当医
- 小澤俊哉(ドクタープロフィール)
- 患者様
- 40代男性
- 治療期間
- 1ヶ月
- 治療回数
- 2-5回
- 治療計画
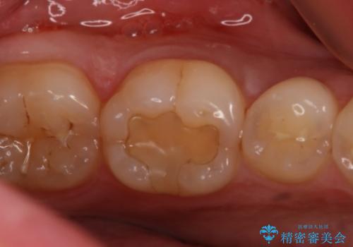
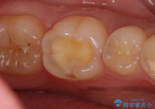
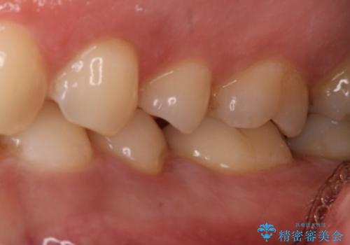
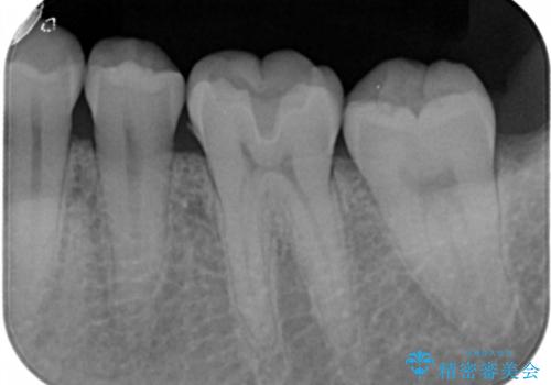
- 左下6番の治療のやり直しを希望し来院された患者様です。
保険の材料が劣化し段差や隙間ができてしまっている状態です。
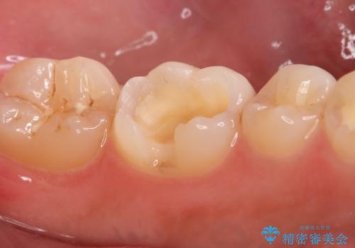
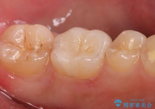
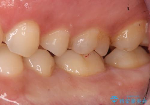
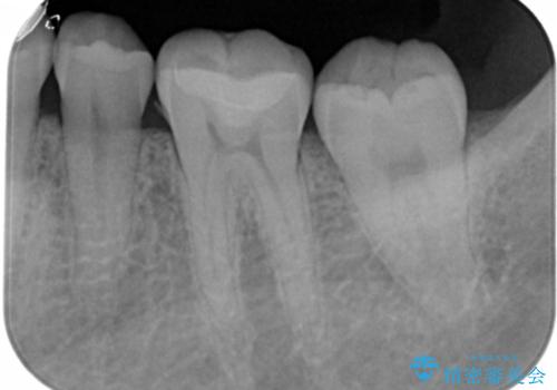
自費の治療を希望されたため切削量・形態を考慮し、セラミックインレーでの治療を計画しました。
- 費用(概算)
- 77000(税込)費用は治療当時の料金となります
治療について
保険の材料と比較して、セラミックは劣化しにくく審美性も高い材料です。
セラミック治療の注意事項(リスク・副作用など)
- 天然歯を削ります
- 硬い素材は天然歯を傷つけてしまう場合があります
- かみ合わせや歯ぎしりが強すぎる方はセラミックが割れてしまう可能性があります
- 自費診療(保険適用外治療)となります
当サイトの内容、テキスト、画像等の無断転載、複製、複写、盗用を固く禁じます。











