症例詳細
Case detail
ブリッジからインプラントへの移行と歯周形成外科
治療症例の内容
- 診療科目
-
- 治療カテゴリ
-
- 担当医
- 河口智英(ドクタープロフィール)
- 患者様
- 30代男性
- 治療期間
- 4ヶ月
- 治療回数
- 2-5回
- 治療計画
- 歯科医院HP 症例記事:ブリッジからインプラントへの移行と歯周形成外科
タイトル
「つながった歯を独立させ、清掃性と耐久性を向上。インプラントとFGGによる機能再建」
治療計画
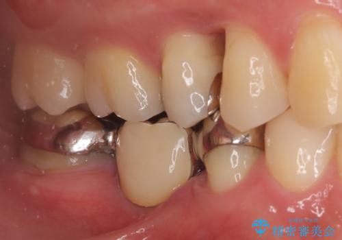
右下奥歯の5・6・7番に装着されていたブリッジの不具合を主訴にご来院されました。ブリッジは汚れが溜まりやすく、土台となる歯への負担も大きいため、今回は「それぞれの歯を独立させて、自分の歯を長持ちさせたい」というご希望に合わせ、以下の計画を立案しました。
ブリッジを外し、欠損している6番にインプラントを埋入。
土台となっていた5番と7番は、セラミッククラウンで修復。
インプラント周囲の歯肉が薄かったため、**FGG(遊離歯肉移植術)**を行い、長期安定に不可欠な「角化歯肉」を確保する。
- 費用(概算)
- 85万円費用は治療当時の料金となります
治療について
治療は、単に「歯を入れる」だけでなく、将来的なメンテナンスのしやすさを最優先に進められました。
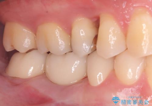
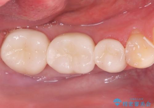
インプラントとセラミック修復: 中央の6番にインプラントを埋入し、両隣の5番・7番はそれぞれ独立したセラミッククラウンで修復しました。ブリッジ時代は歯がつながっていたためお手入れが困難でしたが、個別の歯になったことで、一本ずつフロスが通るようになり、セルフケアの精度が劇的に向上しました。
FGG(遊離歯肉移植術)の実施: インプラントを長持ちさせるためには、周囲に硬く動かない「角化歯肉」が必要です。患者様の上あごから丈夫な歯肉を移植するFGGを行うことで、インプラント周囲に十分な厚みと幅のある角化歯肉を形成しました。
この総合的なアプローチにより、しっかりと噛める機能回復はもちろん、細菌感染に強く、ご自身で隅々までお掃除ができる「健康的な口腔環境」を実現することができました。
セラミック治療の注意事項(リスク・副作用など)
- 天然歯を削ります
- 硬い素材は天然歯を傷つけてしまう場合があります
- かみ合わせや歯ぎしりが強すぎる方はセラミックが割れてしまう可能性があります
- 自費診療(保険適用外治療)となります
インプラント治療の注意事項(リスク・副作用など)
- 外科手術のため、術後に痛みや腫れ、違和感を伴います
- メンテナンスを怠ったり喫煙により、お口の中に大きな悪影響を及ぼすインプラント周囲炎等にかかる可能性があります
- 糖尿病、肝硬変、心臓病等の場合、インプラント治療ができない可能性があります
- 高血圧、貧血・不整脈等の場合、インプラント治療後に治癒不全を招く可能性があります
- 自費診療(保険適用外治療)となります
当サイトの内容、テキスト、画像等の無断転載、複製、複写、盗用を固く禁じます。









