症例詳細
Case detail
【セラミックインレー】歯の奥側に虫歯ができてしまった
治療症例の内容
- 診療科目
- 治療カテゴリ
- 担当医
- 町田睦月(ドクタープロフィール)
- 患者様
- 30代女性
- 治療期間
- 1ヶ月
- 治療回数
- 2-5回
- 治療計画
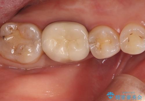
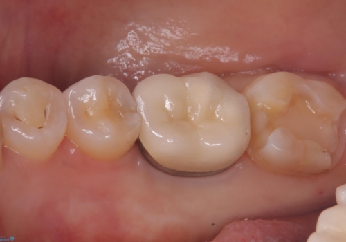
- 主訴:一番奥の歯の奥側の面に虫歯があるのを治したい
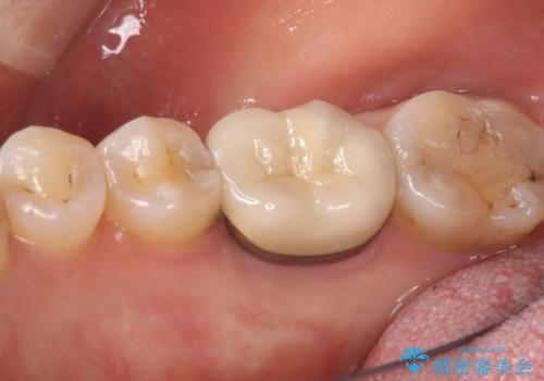
クリーニングにいらした患者さんで、右下7番目の歯の奥側の面や手前の歯との間にう蝕があり、噛む面にも蝕処置によるレジン材料が詰まっていたことから、う蝕も古い材料も全て除去しセラミックインレーでのやり替えとなりました。
- 費用(概算)
- 770,000円(税込み)費用は治療当時の料金となります
治療について
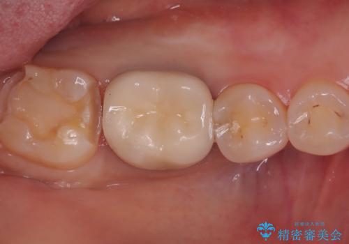
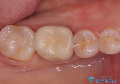
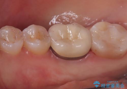
右下7近遠心にカリエスを認め、咬合面のCR修復も劣化していたので、カリエスと古い材料を全て除去し新しくCR裏層した後、セラミックインレーをセットしています。セット時はラバーダム防湿を行っています。
セラミック治療の注意事項(リスク・副作用など)
- 天然歯を削ります
- 硬い素材は天然歯を傷つけてしまう場合があります
- かみ合わせや歯ぎしりが強すぎる方はセラミックが割れてしまう可能性があります
- 自費診療(保険適用外治療)となります
当サイトの内容、テキスト、画像等の無断転載、複製、複写、盗用を固く禁じます。











