症例詳細
Case detail
定期エアフローでスッキリ清潔!
治療症例の内容
- 診療科目
- 治療カテゴリ
- 患者様
- 40代男性
- 治療期間
- 1日
- 治療回数
- 1回
- 治療計画
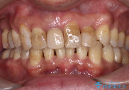
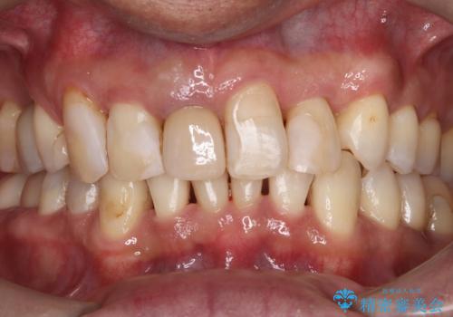
- 定期的なメンテナンスの一環として、着色やバイオフィルムの蓄積予防を目的に来院されました。
- 費用(概算)
- エアフロー 7700円と保険治療費費用は治療当時の料金となります
治療について
エアフローによる歯面および歯間部のバイオフィルム、着色の除去を行いました。
エアフローを定期的に取り入れることで、汚れが蓄積しにくく、メンテナンスもスムーズに行えます。健康な歯を長く保つためにおすすめです。
担当歯科衛生士 三重野
PMTCの注意事項(リスク・副作用など)
- 歯を白くする目的の施術ではありません
- 保険適用外となります
当サイトの内容、テキスト、画像等の無断転載、複製、複写、盗用を固く禁じます。


