症例詳細
Case detail
初めてのホワイトニングで1日で歯を白く!
治療症例の内容
- 診療科目
- 治療カテゴリ
- 患者様
- 20代男性
- 治療期間
- 1日
- 治療回数
- 1回
- 治療計画
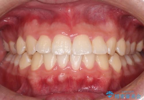
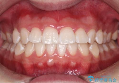
- 歯を白くしたいということで来院されました。初めてのホワイトニングのため、できる限り白くするためにオフィスホワイトニングとホームホワイトニングを併用するデュアルホワイトニングをすすめました。
- 費用(概算)
- 29700円(税込み)費用は治療当時の料金となります
治療について
処置後に知覚過敏と色むらが出る可能性と説明しました。オフィスホワイトニングのみでもかなり効果がありましたが、安定した結果を得るためにホームホワイトニングのも今後行っていく予定です。
新橋銀座しらゆり歯科 歯科衛生士松尾
ホワイトニングの注意事項(リスク・副作用など)
- 知覚過敏が出ることがあります
- ホワイトバンドや白い斑点が出ることがあります
- クラウンやインレー等の補綴物には効果がありません
- ホワイトニングによる効果や持続期間には個人差があります
- 歯牙の状態によっては適応できないことがあります
- 保険適用外となります
当サイトの内容、テキスト、画像等の無断転載、複製、複写、盗用を固く禁じます。


