症例詳細
Case detail
銀歯を金歯にしたい ゴールドインレー
治療症例の内容
- 診療科目
- 治療カテゴリ
- 担当医
- 小澤俊哉(ドクタープロフィール)
- 患者様
- 30代男性
- 治療期間
- 1ヶ月
- 治療回数
- 2-5回
- 治療計画
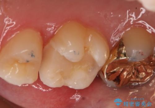
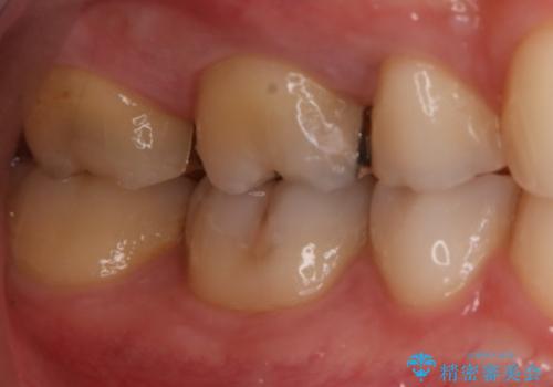
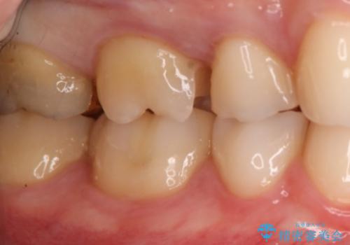
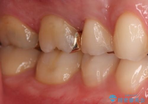
- 右上6番の銀歯のやりかえを希望し来院された患者様です。
切削量や形状からインレーでの治療を計画しました。
ご本人が金歯を希望されたため、ゴールドインレーでの治療を選択しました。
- 費用(概算)
- 77000円費用は治療当時の料金となります
治療について
ゴールドは歯科治療に適している金属と言われ、アレルギー反応も起こしません。
奥歯の治療によく使われます。
PGA(ゴールド)クラウン、インレーの注意事項(リスク・副作用など)
- インレーおよびクラウンは脱離するリスクがあります
- 形成量はセラミックより少ないですが、歯の形成、修復後に歯に症状が出ることがあります
- 自費診療(保険適用外治療)となります
当サイトの内容、テキスト、画像等の無断転載、複製、複写、盗用を固く禁じます。











