症例詳細
Case detail
奥歯を良いもので治したい セラミックインレー
治療症例の内容
- 診療科目
- 治療カテゴリ
- 担当医
- 小澤俊哉(ドクタープロフィール)
- 患者様
- 30代男性
- 治療期間
- 1ヶ月
- 治療回数
- 2-5回
- 治療計画
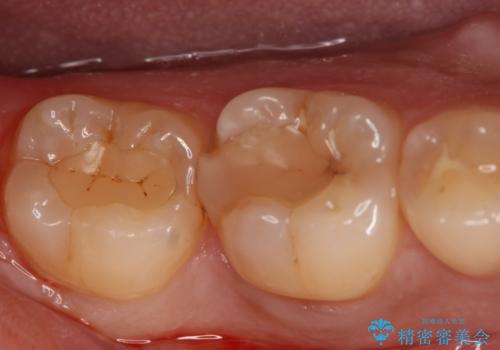
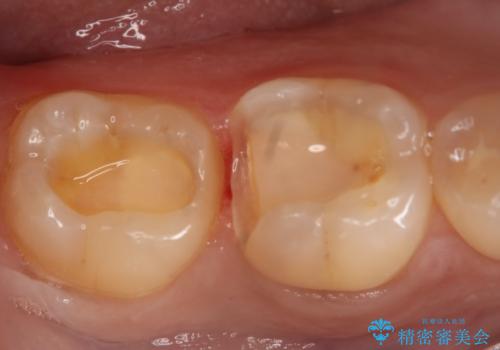
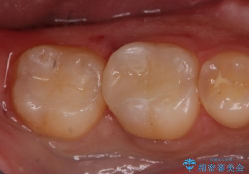
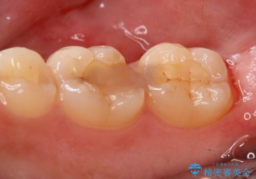
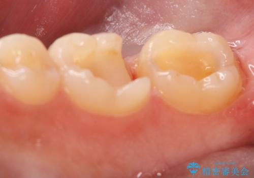
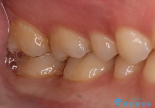
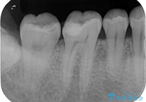
- 右下6・7番の治療のやり変えを主訴に来院された患者様です。
保険の材料が劣化し中で虫歯が進行しているため、古い材料と虫歯を全て除去した上で詰め直す必要がありました。
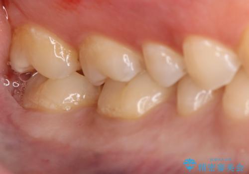
切削量・形態を考慮し、セラミックインレーでの治療を計画しました。
- 費用(概算)
- 154000円(2本分)費用は治療当時の料金となります
治療について
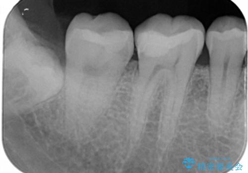
虫歯が深い場合、痛みなどの症状が出る可能性がありますが、経過は良好でご本人も満足されています。
セラミック治療の注意事項(リスク・副作用など)
- 天然歯を削ります
- 硬い素材は天然歯を傷つけてしまう場合があります
- かみ合わせや歯ぎしりが強すぎる方はセラミックが割れてしまう可能性があります
- 自費診療(保険適用外治療)となります
当サイトの内容、テキスト、画像等の無断転載、複製、複写、盗用を固く禁じます。











