症例詳細
Case detail
重度歯周病で失った奥歯2本を、抜歯即時インプラントで早期回復
治療症例の内容
- 診療科目
- 担当医
- 河口智英(ドクタープロフィール)
- 患者様
- 80代女性
- 治療期間
- 6ヶ月
- 治療回数
- 5-10回
- 治療計画
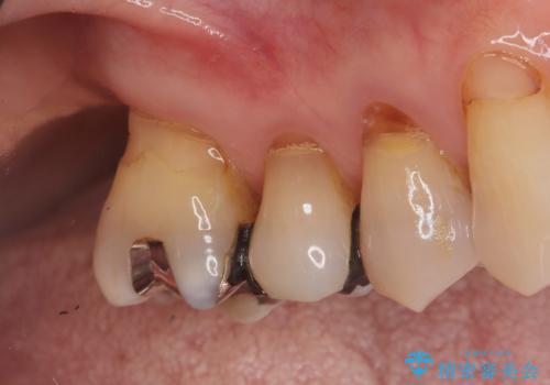
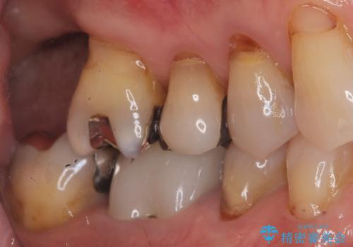
- 右上の奥歯(6番)が重度の歯周病により保存困難な状態であること、およびその後ろの7番もすでに失われていることを主訴にご来院されました。このままでは咬み合わせの機能が大きく低下してしまうため、抜歯後の早期回復と長期安定性を考慮し、インプラント治療を提案しました。治療計画は、
6番を抜歯すると同時にインプラントを埋入する抜歯即時埋入
失われた7番の部分にも同時にインプラントを埋入 の2本同時のインプラント埋入により、治療期間を短縮し、奥歯全体の機能再建を目指しました。
- 費用(概算)
- 100万円費用は治療当時の料金となります
治療について
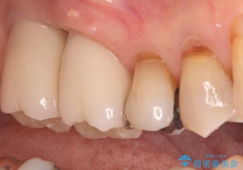
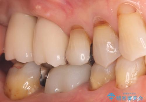
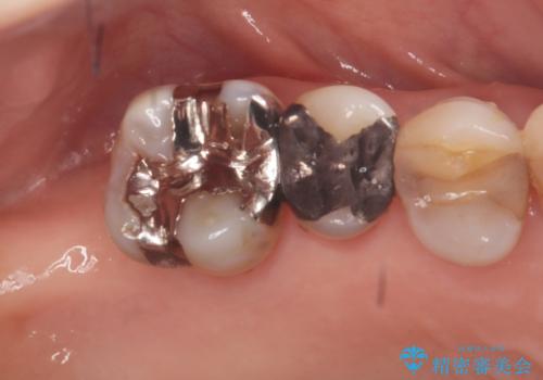
今回の治療では、まず重度歯周病の右上6番を慎重に抜歯し、その直後に6番と、すでに欠損していた7番の部分に、合わせて2本のインプラントを埋入しました。
抜歯即時埋入(6番): 抜歯と同時にインプラントを埋入することで、骨の吸収を最小限に抑え、治療期間を大幅に短縮しました。
7番のインプラント埋入: 6番と同時に埋入することで、治癒期間を一括で管理でき、効率的に治療を進めることができました。
その後、インプラントと骨がしっかりと結合するのを待ってから、最終的な被せ物(クラウン)を装着。これにより、重度歯周病で失われた2本の奥歯を、強固で安定したインプラントで再建。以前のような不安なく、しっかりと噛める快適な食生活を取り戻していただけました。
インプラント治療の注意事項(リスク・副作用など)
- 外科手術のため、術後に痛みや腫れ、違和感を伴います
- メンテナンスを怠ったり喫煙により、お口の中に大きな悪影響を及ぼすインプラント周囲炎等にかかる可能性があります
- 糖尿病、肝硬変、心臓病等の場合、インプラント治療ができない可能性があります
- 高血圧、貧血・不整脈等の場合、インプラント治療後に治癒不全を招く可能性があります
- 自費診療(保険適用外治療)となります
当サイトの内容、テキスト、画像等の無断転載、複製、複写、盗用を固く禁じます。








