症例詳細
Case detail
銀の詰め物を白くしたい
治療症例の内容
- 診療科目
- 治療カテゴリ
- 担当医
- 中井遥香(ドクタープロフィール)
- 患者様
- 40代男性
- 治療期間
- 1ヶ月
- 治療回数
- 2-5回
- 治療計画
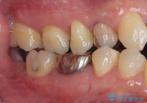
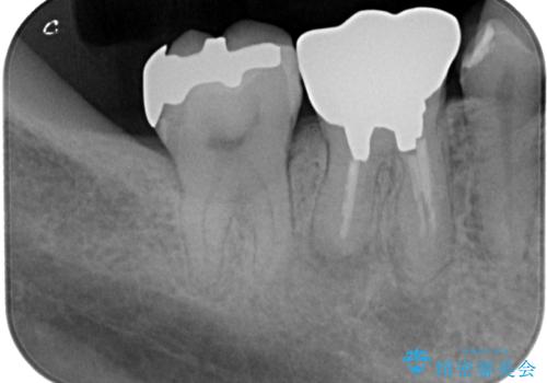
- 適合の良くない銀の詰め物が入っており、白い詰め物へのやり替えをご希望された患者様です。
メタルインレーを除去したところ、虫歯ができていたため取り除いたうえでハイブリッドインレー修復を行いました。
インレーセット時には唾液の侵入を防ぐためにラバーダム防湿を行っています。
- 費用(概算)
- 6万(税込み)費用は治療当時の料金となります
治療について
Ⅲ級咬合の患者さまで、奥歯への負荷が強いため、セラミックよりも破損のリスクが低いハイブリッドインレー治療を行いました。
セラミック治療の注意事項(リスク・副作用など)
- 天然歯を削ります
- 硬い素材は天然歯を傷つけてしまう場合があります
- かみ合わせや歯ぎしりが強すぎる方はセラミックが割れてしまう可能性があります
- 自費診療(保険適用外治療)となります
その他の注意事項(リスク・副作用など)
- 担当歯科医師、歯科衛生士又は医院スタッフから受けた説明・注意事項をよくご確認ください
- 医療を提供するに当たり、適切な説明を行い、患者様の十分な理解を得るよう努めております
当サイトの内容、テキスト、画像等の無断転載、複製、複写、盗用を固く禁じます。









