症例詳細
Case detail
【セラミックインレー】歯がたまーにしみる
治療症例の内容
- 診療科目
- 治療カテゴリ
- 担当医
- 町田睦月(ドクタープロフィール)
- 患者様
- 20代女性
- 治療期間
- 1ヶ月
- 治療回数
- 2-5回
- 治療計画
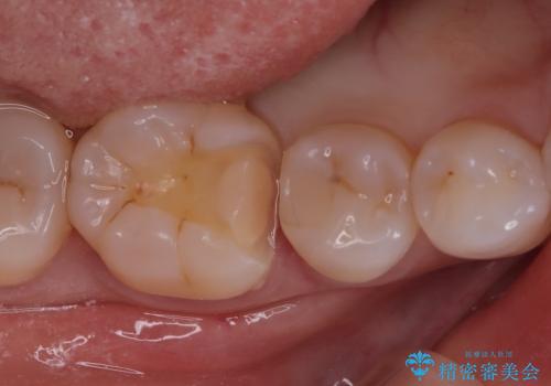
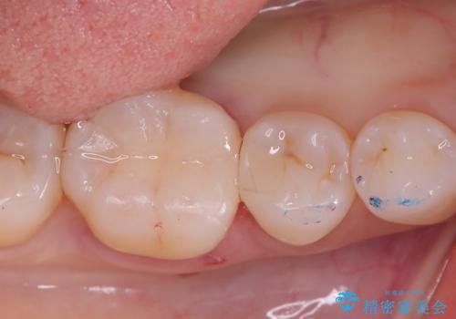
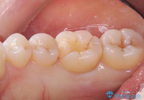
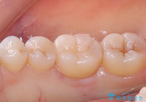
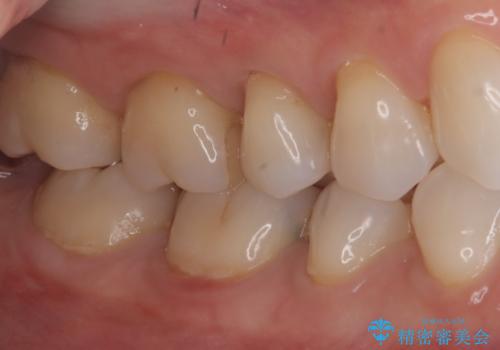
- 主訴:右下の奥歯がたまに冷たい物や甘いものでしみる
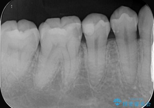
右下6番目の歯に大きめのう蝕を認め、形態の再現性を考えインレーでの治療となりました。
- 費用(概算)
- 77,000円(税込み)費用は治療当時の料金となります
治療について
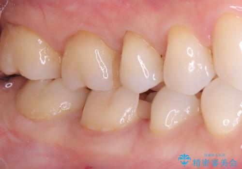
右下6の近心にう蝕が認められう蝕の範囲が大きかったため、歯冠形態の再現性の高いインレーでの修復とし、材質は審美性、清掃性に優れたセラミックを選択しました。
セラミック治療の注意事項(リスク・副作用など)
- 天然歯を削ります
- 硬い素材は天然歯を傷つけてしまう場合があります
- かみ合わせや歯ぎしりが強すぎる方はセラミックが割れてしまう可能性があります
- 自費診療(保険適用外治療)となります
当サイトの内容、テキスト、画像等の無断転載、複製、複写、盗用を固く禁じます。











