症例詳細
Case detail
抜歯になった奥歯 速やかな埋入による短期間インプラント治療
治療症例の内容
- 診療科目
- 治療カテゴリ
- 担当医
- 藤巻太一朗(ドクタープロフィール)
- 患者様
- 30代女性
- 治療期間
- 3ヶ月
- 治療回数
- 2-5回
- 治療計画
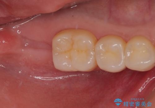
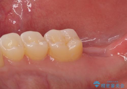
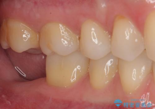
- 奥歯が抜歯となり、インプラント治療を希望して来院された患者様です。
来院時には抜歯して1ヶ月ほど経過していたとのことで、3次元レントゲンよりインプラントの早期埋入が可能と診断されました。
インプラント埋入と同時に仮歯を装着するために、事前に仮歯を用意し、速やかにインプラント埋入を行うこととしました。
- 費用(概算)
- 45万円(税込)費用は治療当時の料金となります
治療について
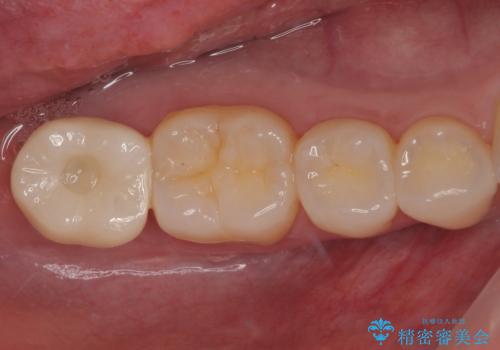
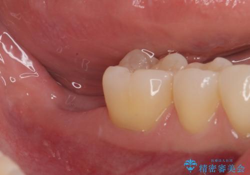
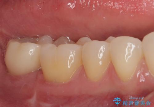
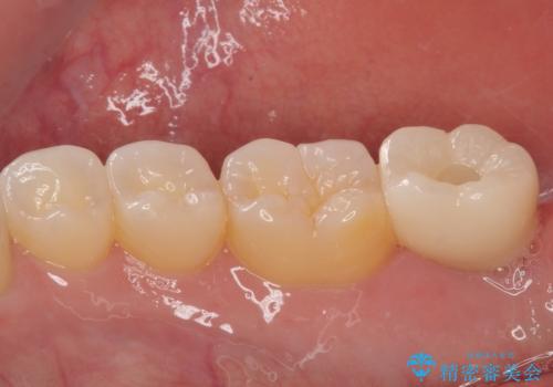
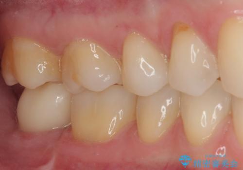
抜歯された骨の穴は、インプラント埋入時にはまだ大きな窩洞となっていましたが、径の大きいワイドインプラントを選択することで、埋入時に十分な安定を獲得することができました。
後方には欠損が残っていたため、補填材を填入しました。
術後にインプラントが骨から脱落することがありますが、特筆するトラブルなどなく、最短の3ヶ月で治療を終えることができました。
インプラント治療の注意事項(リスク・副作用など)
- 外科手術のため、術後に痛みや腫れ、違和感を伴います
- メンテナンスを怠ったり喫煙により、お口の中に大きな悪影響を及ぼすインプラント周囲炎等にかかる可能性があります
- 糖尿病、肝硬変、心臓病等の場合、インプラント治療ができない可能性があります
- 高血圧、貧血・不整脈等の場合、インプラント治療後に治癒不全を招く可能性があります
- 自費診療(保険適用外治療)となります
セラミック治療の注意事項(リスク・副作用など)
- 天然歯を削ります
- 硬い素材は天然歯を傷つけてしまう場合があります
- かみ合わせや歯ぎしりが強すぎる方はセラミックが割れてしまう可能性があります
- 自費診療(保険適用外治療)となります
当サイトの内容、テキスト、画像等の無断転載、複製、複写、盗用を固く禁じます。















