症例詳細
Case detail
金属の被せ物を白くしたい【セラミックインレー】
治療症例の内容
- 診療科目
- 治療カテゴリ
- 担当医
- 榊原康平(ドクタープロフィール)
- 患者様
- 30代女性
- 治療期間
- 治療回数
- 2-5回
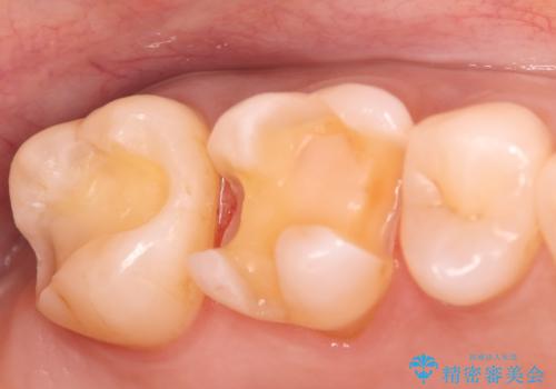
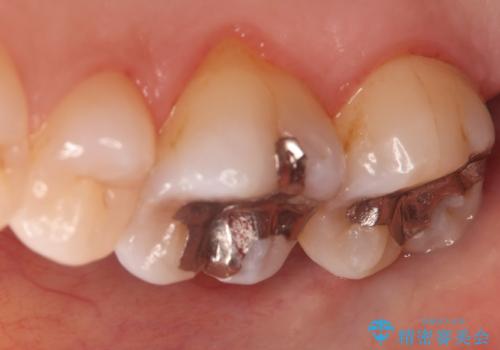
- 治療計画
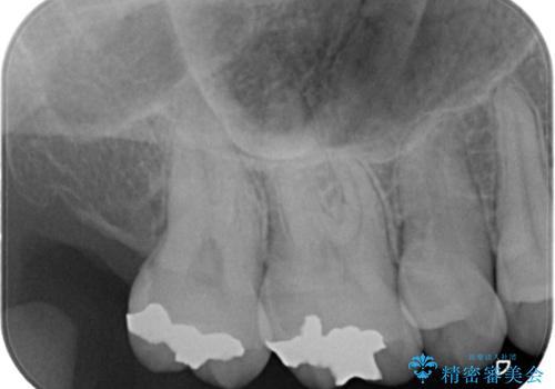
- 昔入れた金属の被せ物を白い物に変えたいと思い来院された患者様です。レントゲン等確認し審美的によく、強度のあるセラミックインレーにて治療いたしました。
- 費用(概算)
- 154000円費用は治療当時の料金となります
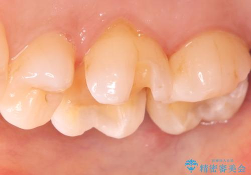
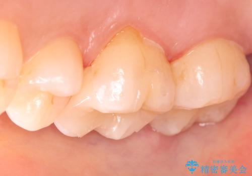
治療について
審美的に良い補綴物に変わり満足いただきました。かみ合わせも問題なく快適に食事できているとのことでした。
セラミック治療の注意事項(リスク・副作用など)
- 天然歯を削ります
- 硬い素材は天然歯を傷つけてしまう場合があります
- かみ合わせや歯ぎしりが強すぎる方はセラミックが割れてしまう可能性があります
- 自費診療(保険適用外治療)となります
当サイトの内容、テキスト、画像等の無断転載、複製、複写、盗用を固く禁じます。








