症例詳細
Case detail
外科処置は一度だけ|抜歯即時インプラントで短期間で自然な見た目へ
治療症例の内容
- 診療科目
- 担当医
- 齋藤佑磨(ドクタープロフィール)
- 患者様
- 40代男性
- 治療期間
- 3ヶ月
- 治療回数
- 2-5回
- 治療計画
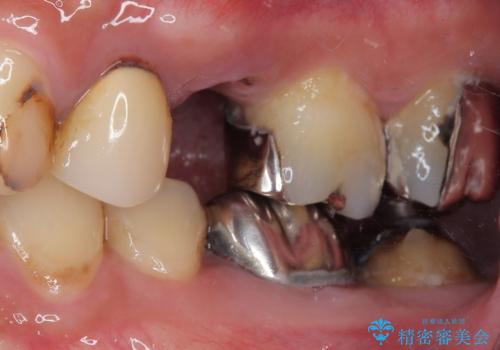
- 今回ご紹介するのは、左上の小臼歯(第二小臼歯)の治療を希望されて来院された患者様です。
診査の結果、該当歯は**虫歯が歯肉の奥深くまで進行し、根だけが残っている状態**でした。
このようなケースでは、歯を残すことが難しく、従来なら抜歯後に一定の治癒期間をおいてからインプラント治療を行うのが一般的です。
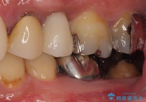
今回は、外科処置の回数を減らし、患者様の負担を最小限にするため、
**抜歯と同時にインプラントを埋入する「抜歯即時インプラント」**を選択しました。
抜歯と同時にインプラントを埋入し、その日のうちに仮歯を装着。
即日で審美性を回復できたため、治療当日から自然な見た目でお過ごしいただけました。
埋入から約3か月後、最終的なセラミッククラウンを装着し、
周囲の歯と調和した自然で美しい仕上がりとなりました。
- 費用(概算)
- 49万円(税込)費用は治療当時の料金となります
抜歯即時インプラントのメリット
外科処置が一度で済み、身体的・心理的負担が少ない
治療期間を短縮できる
その日のうちに仮歯を装着し、審美性をすぐに回復できる
骨や歯ぐきの形を維持しやすく、自然な仕上がりに
インプラント治療の注意事項(リスク・副作用など)
- 外科手術のため、術後に痛みや腫れ、違和感を伴います
- メンテナンスを怠ったり喫煙により、お口の中に大きな悪影響を及ぼすインプラント周囲炎等にかかる可能性があります
- 糖尿病、肝硬変、心臓病等の場合、インプラント治療ができない可能性があります
- 高血圧、貧血・不整脈等の場合、インプラント治療後に治癒不全を招く可能性があります
- 自費診療(保険適用外治療)となります
当サイトの内容、テキスト、画像等の無断転載、複製、複写、盗用を固く禁じます。











