症例詳細
Case detail
抜歯即時インプラントで治療期間を大幅短縮!抜歯からセラミックまでを3か月で完了
治療症例の内容
- 診療科目
- 治療カテゴリ
- 担当医
- 齋藤佑磨(ドクタープロフィール)
- 患者様
- 40代女性
- 治療期間
- 3ヶ月
- 治療回数
- 2-5回
- 治療計画
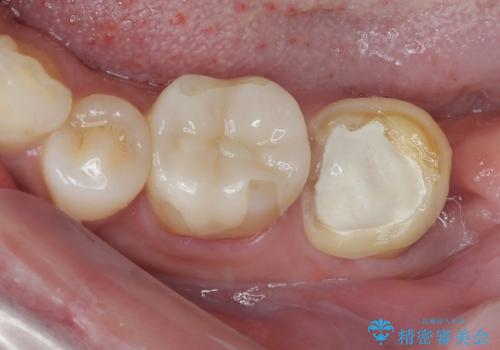
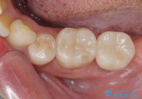
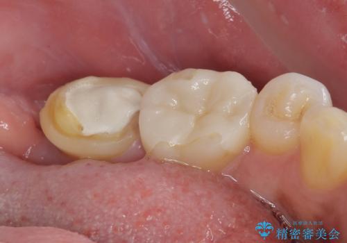
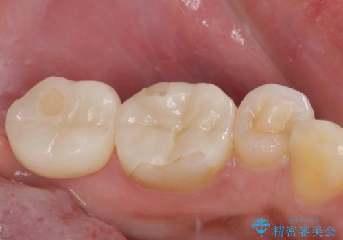
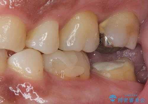
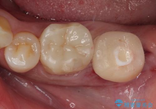
- 他院で「左下の親知らずの手前の歯が虫歯」と診断された患者様の症例です。
診査の結果、下顎左側第二大臼歯の遠心(奥側)に大きな虫歯があり、歯肉の奥深く、骨の縁まで進行している状態でした。
このようなケースでは、虫歯を完全に除去して精密な補綴治療をするのが難しく、長期的な予後が不良となることが多いです。
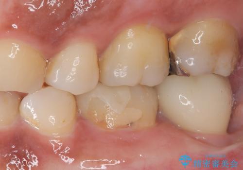
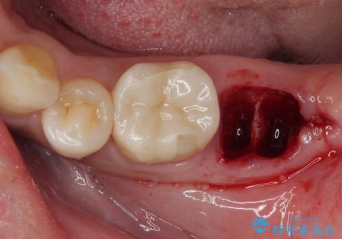
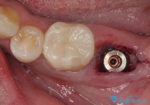
そこで今回は、抜歯即時インプラントの適応と判断しました。
抜歯と同時にインプラントを埋入し、さらにその日のうちに仮歯を装着することで、見た目と機能を即日に回復しています。
- 費用(概算)
- 44万円(税込)費用は治療当時の料金となります
治療について
従来のインプラント治療では、抜歯からインプラント埋入まで数か月の待機期間が必要でしたが、抜歯即時インプラントでは1回の外科処置で治療が完了するため、
・治療期間の短縮
・外科的侵襲(手術回数)の軽減
・患者さんの心理的・身体的負担の軽減
が可能です。
インプラント治療の注意事項(リスク・副作用など)
- 外科手術のため、術後に痛みや腫れ、違和感を伴います
- メンテナンスを怠ったり喫煙により、お口の中に大きな悪影響を及ぼすインプラント周囲炎等にかかる可能性があります
- 糖尿病、肝硬変、心臓病等の場合、インプラント治療ができない可能性があります
- 高血圧、貧血・不整脈等の場合、インプラント治療後に治癒不全を招く可能性があります
- 自費診療(保険適用外治療)となります
当サイトの内容、テキスト、画像等の無断転載、複製、複写、盗用を固く禁じます。











