症例詳細
Case detail
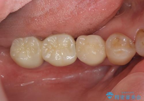
奥歯から膿のにおいがする インプラントによる機能回復
治療症例の内容
- 診療科目
- 担当医
- 大元洋佑(ドクタープロフィール)
- 患者様
- 50代女性
- 治療期間
- 6ヶ月
- 治療回数
- 5-10回
- 治療計画
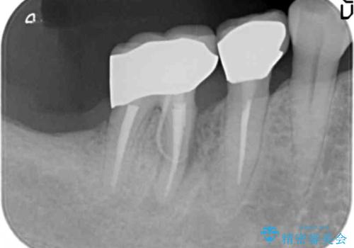
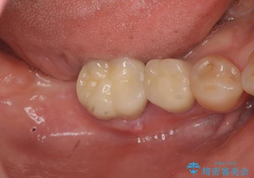
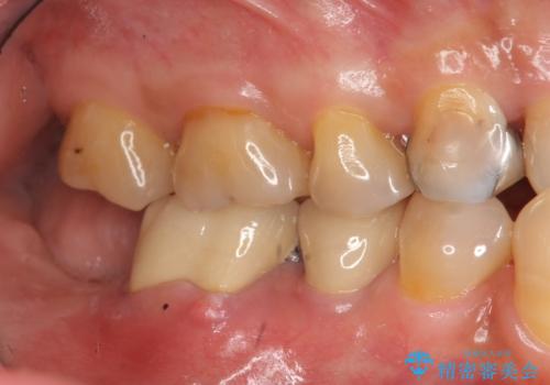
- 「奥歯で噛むと痛い、いつも膿のにおいがして不快、改善してほしい。」と治療を希望され来院されました。
精査した結果、奥歯の根は破折しており抜歯を避けられない状況でした。
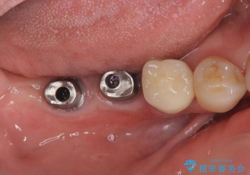
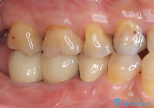
咬合力が強く、その他の歯の破折も防ぐために奥歯の咬合機能をインプラントを用いて回復する治療計画を立てます。
- 費用(概算)
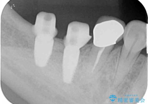
- 99万円(インプラント×2・チタンカスタムアバットメント×2・ジルコニアクラウン×2・仮歯×2)費用は治療当時の料金となります
治療について
歯は大きな力がかかると割れてしまうことがよくあります。
破折した歯はほとんどの場合抜歯が必要になることが多く、インプラントを用いた咬合機能の回復は、また噛めるようになるだけでなく残っているその他の歯を守る意味でも非常に大きな意味を持ちます。
インプラント治療の注意事項(リスク・副作用など)
- 外科手術のため、術後に痛みや腫れ、違和感を伴います
- メンテナンスを怠ったり喫煙により、お口の中に大きな悪影響を及ぼすインプラント周囲炎等にかかる可能性があります
- 糖尿病、肝硬変、心臓病等の場合、インプラント治療ができない可能性があります
- 高血圧、貧血・不整脈等の場合、インプラント治療後に治癒不全を招く可能性があります
- 自費診療(保険適用外治療)となります
セラミック治療の注意事項(リスク・副作用など)
- 天然歯を削ります
- 硬い素材は天然歯を傷つけてしまう場合があります
- かみ合わせや歯ぎしりが強すぎる方はセラミックが割れてしまう可能性があります
- 自費診療(保険適用外治療)となります
当サイトの内容、テキスト、画像等の無断転載、複製、複写、盗用を固く禁じます。














