症例詳細
Case detail
銀歯をやり変えたい フルジルコニアブリッジ
治療症例の内容
- 診療科目
- 治療カテゴリ
- 担当医
- 小澤俊哉(ドクタープロフィール)
- 患者様
- 20代男性
- 治療期間
- 治療回数
- 2-5回
- 治療計画
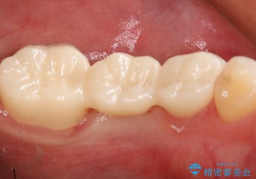
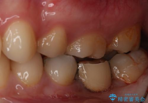
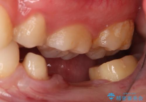
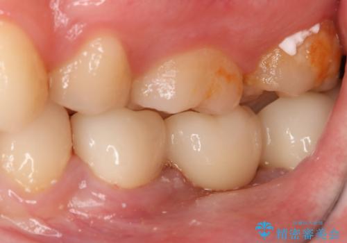
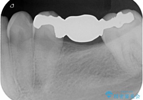
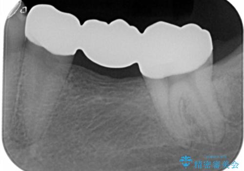
- 左下奥歯のブリッジのやり変え希望のため来院された患者様です。
支台歯部分はインレー形態でしたが強度や維持性を考慮しクラウン形態への変更を計画しました。
患者様の希望によりフルジルコニアブリッジを選択しました。
- 費用(概算)
- 297000円(フルジルコニアクラウン×3、仮歯×3)費用は治療当時の料金となります
治療について
後ろの歯が前に倒れ込んでいましたが問題なく治療を終えることが出来ました。
セラミック治療の注意事項(リスク・副作用など)
- 天然歯を削ります
- 硬い素材は天然歯を傷つけてしまう場合があります
- かみ合わせや歯ぎしりが強すぎる方はセラミックが割れてしまう可能性があります
- 自費診療(保険適用外治療)となります
当サイトの内容、テキスト、画像等の無断転載、複製、複写、盗用を固く禁じます。











