症例詳細
Case detail
米粒のような小さい歯 セラミッククラウンでバランスを改善
治療症例の内容
- 診療科目
- 治療カテゴリ
- 担当医
- 藤巻太一朗(ドクタープロフィール)
- 患者様
- 50代女性
- 治療期間
- 2ヶ月
- 治療回数
- 2-5回
- 治療計画
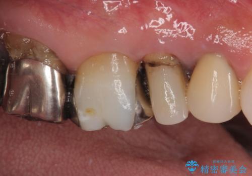
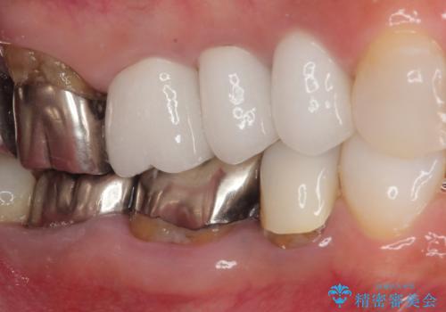
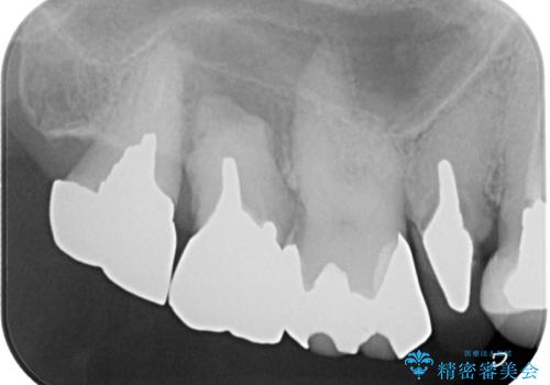
- むし歯の放置期間が長く、クラウンの幅が狭くなってしまった歯を気にして来院された患者様です。
細長いクラウンの周りが汚れてきたこと、奥の銀歯が笑ったときに見えることから、3本をセラミッククラウンにて補綴し、大きさのバランスを整えることとしました。
- 費用(概算)
- 45万円(税込)費用は治療当時の料金となります
治療について
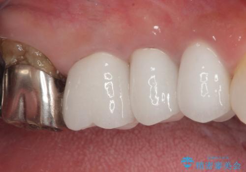
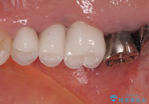
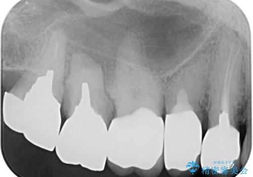
奥の銀歯の幅が大きかったこともあり、細長いクラウンの見た目は大きく改善することができました。
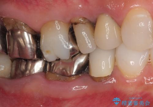
今後は他の銀歯の治療を進めていく計画です。
セラミック治療の注意事項(リスク・副作用など)
- 天然歯を削ります
- 硬い素材は天然歯を傷つけてしまう場合があります
- かみ合わせや歯ぎしりが強すぎる方はセラミックが割れてしまう可能性があります
- 自費診療(保険適用外治療)となります
当サイトの内容、テキスト、画像等の無断転載、複製、複写、盗用を固く禁じます。










