症例詳細
Case detail
マウスピースで歯並びを改善
治療症例の内容
- 診療科目
- 治療カテゴリ
- 担当医
- 瀧村怜未(ドクタープロフィール)
- 患者様
- 30代男性
- 治療期間
- 1年
- 治療回数
- 5-10回
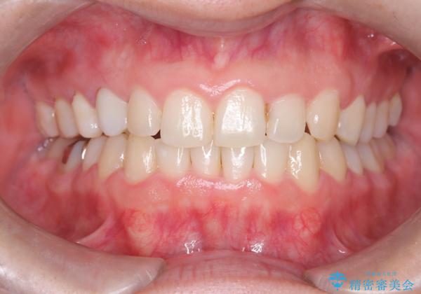
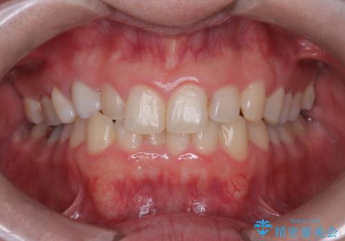
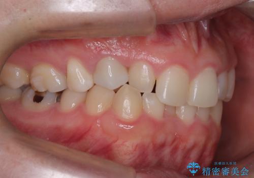
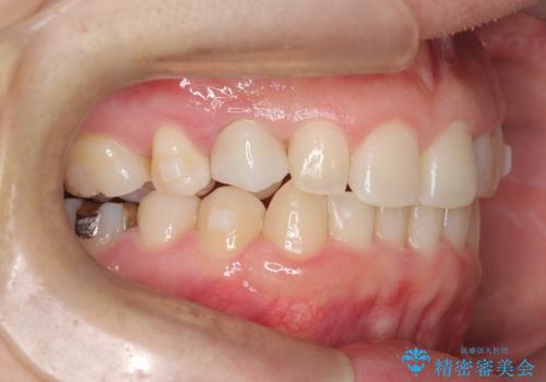
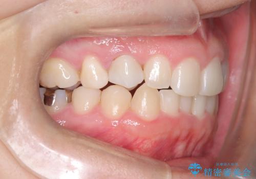
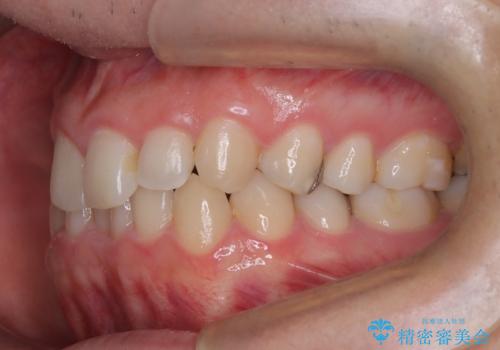
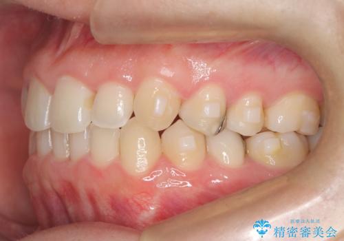
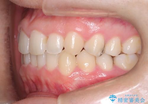
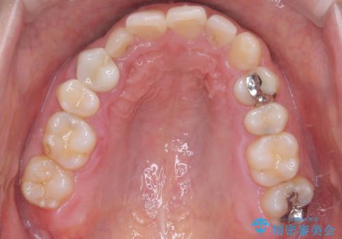
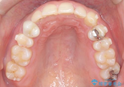
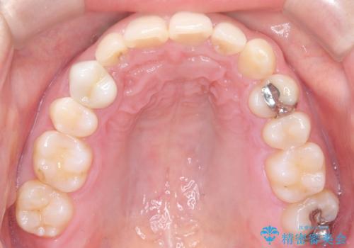
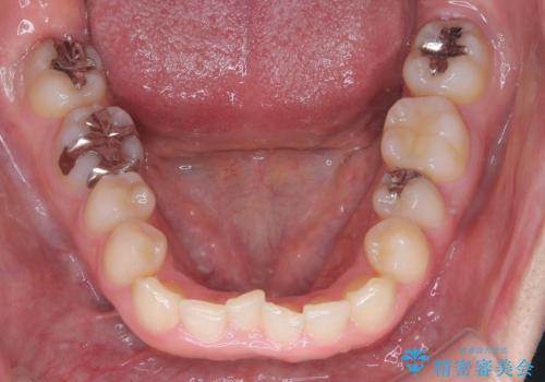
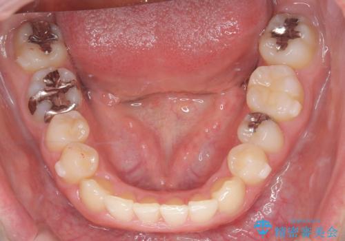
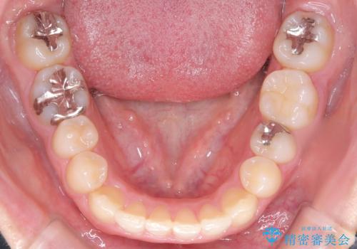
- 治療計画
- 下の歯のがたつき(叢生)、真ん中(正中)が右にずれていることを主訴に来院されました。右上前から3番目の永久歯が埋まっている(埋伏)していることから正中は可能な限り合わせることをゴールとしてマウスピースでの矯正治療を選択しました。
- 費用(概算)
- 605000円費用は治療当時の料金となります
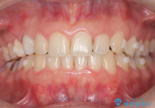
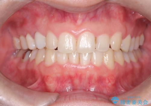
治療について
今回の矯正治療では、透明なマウスピース型の装置インビザラインを使用しました。がたつきをとるため、安全性が確保できる範囲で歯と歯の間を少し削り必要なスペースを確保しました。
マウスピース矯正の注意事項(リスク・副作用など)
- 口腔内・歯並びの状態によっては対応できない場合があります
- マウスピース型矯正装置の長時間装着(1日20時間以上)が必須です
- 治療計画通りに進めるためには、患者様の意志が重要になります
- 矯正治療後の保定が不十分だと後戻り(元の位置に戻ろうとする動き)をします
- 薬機法対象外の矯正歯科装置のため医薬品副作用被害救済制度の対象外となる場合があります
- 自費診療(保険適用外)となります
当サイトの内容、テキスト、画像等の無断転載、複製、複写、盗用を固く禁じます。








 
                       
                                                          













