症例詳細
Case detail
遊離歯肉移植術を伴うインプラント治療
治療症例の内容
- 患者様
- 20代女性
- 治療期間
- 10ヶ月
- 治療回数
- 10-30回
- 治療計画
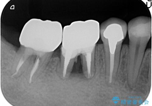
- 虫歯が多く、全体的な歯の検診を希望され当院に来院されました。
X線写真検査より、クラウンや銀歯の下で歯に大きな虫歯が発生し、抜歯を余儀なくされる状況でした。
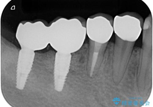
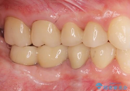
虫歯に伴い歯槽骨の吸収も見られたので造骨後、インプラントを用いて咬合機能を回復します。
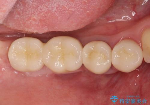
また、機能後のインプラント周囲の清掃性を高めるため遊離歯肉移植術を行っています。
- 費用(概算)
- 110万円(インプラント×2・チタンカスタムアバットメント×2・ジルコニアクラウン×2・仮歯×2・遊離歯肉移植術)費用は治療当時の料金となります
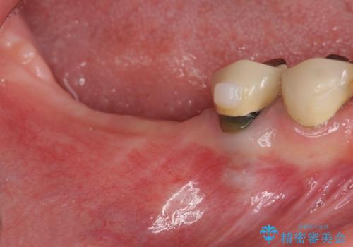
遊離歯肉移植術について
インプラント周囲に強固な歯ぐきを移植することで、歯ブラシがしやすくなりインプラント周囲炎対策となります。
インプラント治療の注意事項(リスク・副作用など)
- 外科手術のため、術後に痛みや腫れ、違和感を伴います
- メンテナンスを怠ったり喫煙により、お口の中に大きな悪影響を及ぼすインプラント周囲炎等にかかる可能性があります
- 糖尿病、肝硬変、心臓病等の場合、インプラント治療ができない可能性があります
- 高血圧、貧血・不整脈等の場合、インプラント治療後に治癒不全を招く可能性があります
- 自費診療(保険適用外治療)となります
当サイトの内容、テキスト、画像等の無断転載、複製、複写、盗用を固く禁じます。



















