症例詳細
Case detail
乱ぐい歯 虫歯治療 セラミックインレー
治療症例の内容
- 診療科目
- 治療カテゴリ
- 担当医
- 高悠莉(ドクタープロフィール)
- 患者様
- 60代女性
- 治療期間
- 1ヶ月
- 治療回数
- 2-5回
- 治療計画
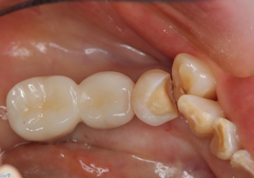
- 左下のがたつきが大きい歯(乱ぐい歯)の部分に虫歯が見つかった患者様です。通常、こういった部位の虫歯治療のレジン充填は正確な形態を作るのが難しいとされているため、今回はシリコンにて型どりを行い、そのうえでセラミックインレーにて治療いたしました。術後にフロスがしっかりと通せるように、ラバーダム防湿を行っています。
- 費用(概算)
- 77,000円(税込)費用は治療当時の料金となります
ラバーダム防湿のメリット
セラミックインレーセット時に使用することで、唾液による汚染や、接着に使用するレジンセメントの残存を予防することができるため、治療後の予後を良くします。
セラミック治療の注意事項(リスク・副作用など)
- 天然歯を削ります
- 硬い素材は天然歯を傷つけてしまう場合があります
- かみ合わせや歯ぎしりが強すぎる方はセラミックが割れてしまう可能性があります
- 自費診療(保険適用外治療)となります
当サイトの内容、テキスト、画像等の無断転載、複製、複写、盗用を固く禁じます。






