症例詳細
Case detail
メンテナンスで日々のブラッシングの再確認
治療症例の内容
- 診療科目
- 治療カテゴリ
- 患者様
- 20代女性
- 治療期間
- 1日
- 治療回数
- 1回
- 治療計画
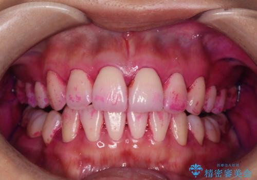
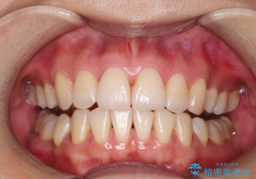
- ホームケアでは電動歯ブラシとフロスを毎日使用10分程磨いているそうです。
メンテナンスで来院された際に磨けていない部位のチェックをし、ブラッシング指導で難しい所は補助道具のご提案をしました。
磨いていると磨けていない部分がはっきりわかり、補助道具を購入されブラッシングの仕方も意識して頑張りますと意欲的でした。
- 費用(概算)
- 3000円から5000円[保険でのメンテナンス]費用は治療当時の料金となります
治療について
患者さんと相談しプラークコントロールが定着するまでメンテナンスは1ヶ月毎になりました。
PMTCの注意事項(リスク・副作用など)
- 歯を白くする目的の施術ではありません
- 保険適用外となります
当サイトの内容、テキスト、画像等の無断転載、複製、複写、盗用を固く禁じます。




