症例詳細
Case detail
艶感アップになるクリーニング
治療症例の内容
- 診療科目
- 治療カテゴリ
- 患者様
- 20代女性
- 治療期間
- 1日
- 治療回数
- 1回
- 治療計画
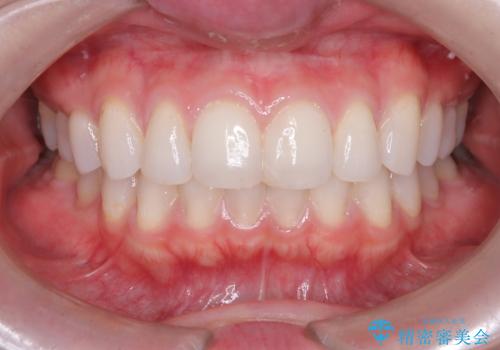
- 久しぶりのクリーニングで来院された患者様です。
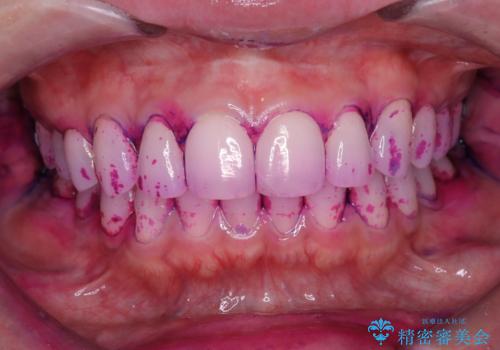
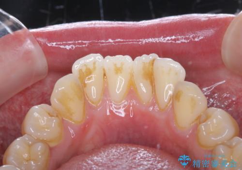
着色は少ない口腔内でしたが、染め出しをしてエアフローを行いました。
汚れが少なく見える口腔内でも染め出しをすると歯茎の近くなどに汚れが溜まっているのがわかります。
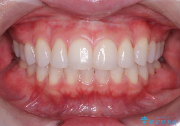
エアフローを行い、着色やバイオフィルム・歯垢(プラーク)が除去され歯の表面に艶が出ました。
- 費用(概算)
- 約13000円費用は治療当時の料金となります
治療について
エアフローは、着色やバイオフィルム(微生物の集まり)や・歯垢を除去するので歯本来の色に近づけるだけでなく、むし歯予防にもなります。
患者様にも、お口の中がスッキリして気持ちよかったと好評でした。
とてもお勧めしているクリーニングです。
衛生士 宇津宮
PMTCの注意事項(リスク・副作用など)
- 歯を白くする目的の施術ではありません
- 保険適用外となります
当サイトの内容、テキスト、画像等の無断転載、複製、複写、盗用を固く禁じます。



