症例詳細
Case detail
奥歯の虫歯を治療したい セラミックインレー
治療症例の内容
- 診療科目
- 治療カテゴリ
- 担当医
- 小澤俊哉(ドクタープロフィール)
- 患者様
- 30代男性
- 治療期間
- 1ヶ月
- 治療回数
- 2-5回
- 治療計画
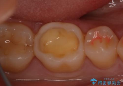
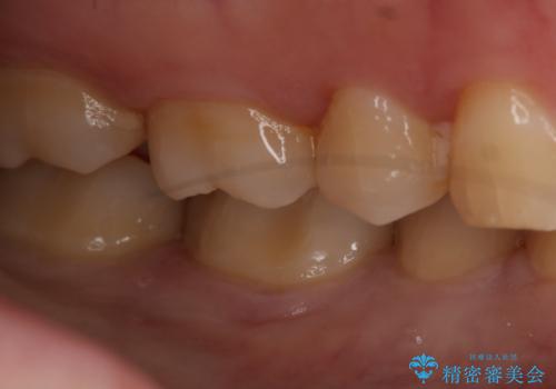
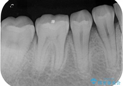
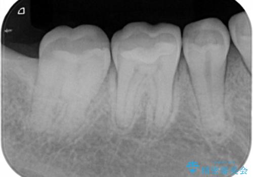
- 右下奥歯の虫歯治療を希望された患者様です。
保険の材料が劣化し、直下で虫歯の存在が確認出来ました。
セラミックを希望されたので形態・切削量を考慮し、セラミックインレーでの治療を計画しました。
- 費用(概算)
- 77000円費用は治療当時の料金となります
治療について
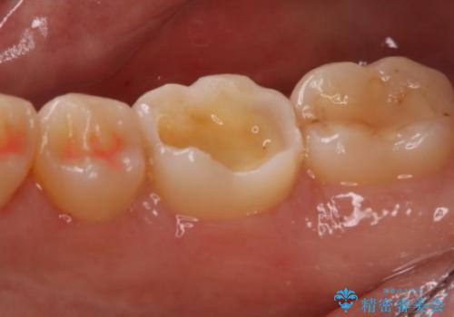
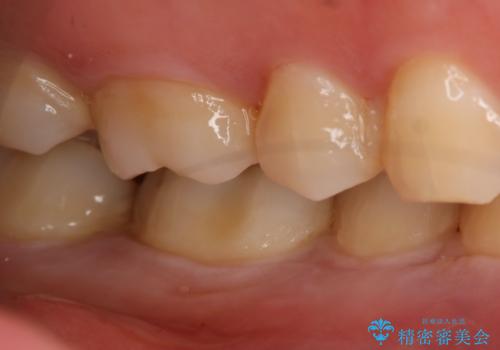
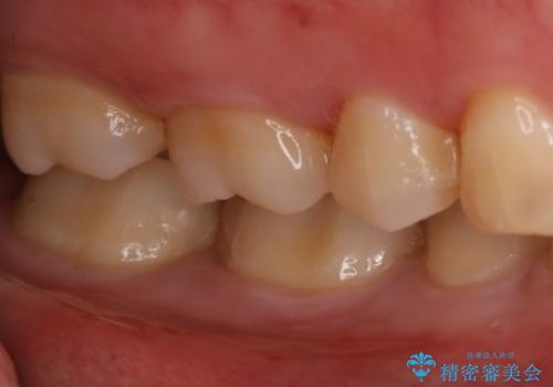
虫歯が広く進行していましたが神経には到達していなかったので、予定通りセラミックインレーでの治療を行いました。
セラミック治療の注意事項(リスク・副作用など)
- 天然歯を削ります
- 硬い素材は天然歯を傷つけてしまう場合があります
- かみ合わせや歯ぎしりが強すぎる方はセラミックが割れてしまう可能性があります
- 自費診療(保険適用外治療)となります
当サイトの内容、テキスト、画像等の無断転載、複製、複写、盗用を固く禁じます。











