症例詳細
Case detail
入れ歯では食事を楽しめない。インプラントによる咬合機能回復
治療症例の内容
- 診療科目
- 担当医
- 大元洋佑(ドクタープロフィール)
- 患者様
- 50代男性
- 治療期間
- 5ヶ月
- 治療回数
- 5-10回
- 治療計画
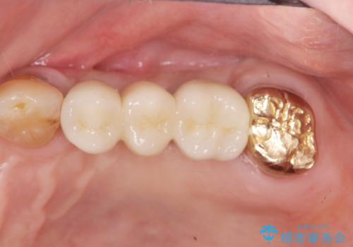
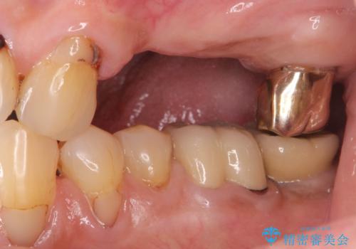
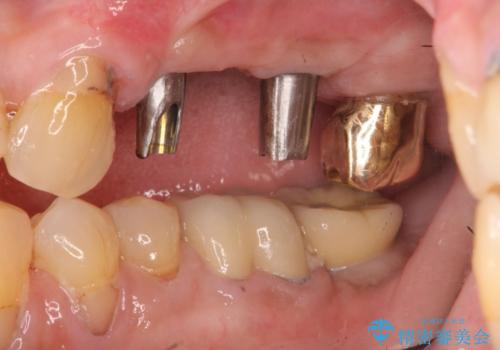
- 奥歯を失い半年間入れ歯を使用してみたが、とにかく咬めない、食事を楽しむことができない!と
咬合機能の回復を求めて来院されました。
しっかりとまた物を噛めるようになるために、インプラントを用いて咬合機能を回復していきます。
- 費用(概算)
- 106.7万円(インプラント×2・チタンカスタムアバットメント×2・ジルコニアクラウン×3・仮歯×3)費用は治療当時の料金となります
治療について
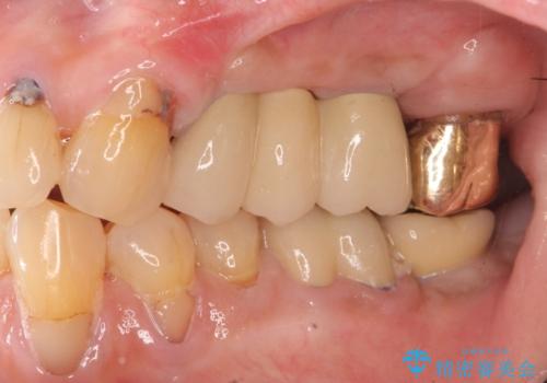
入れ歯とは比べものにならないくらいしっかりと噛めるようになり、大変喜んでいただくことができました。
インプラント治療の注意事項(リスク・副作用など)
- 外科手術のため、術後に痛みや腫れ、違和感を伴います
- メンテナンスを怠ったり喫煙により、お口の中に大きな悪影響を及ぼすインプラント周囲炎等にかかる可能性があります
- 糖尿病、肝硬変、心臓病等の場合、インプラント治療ができない可能性があります
- 高血圧、貧血・不整脈等の場合、インプラント治療後に治癒不全を招く可能性があります
- 自費診療(保険適用外治療)となります
当サイトの内容、テキスト、画像等の無断転載、複製、複写、盗用を固く禁じます。












