症例詳細
Case detail
メタルフリー 即日セラミック修復
治療症例の内容
- 診療科目
- 治療カテゴリ
- 担当医
- 高悠莉(ドクタープロフィール)
- 患者様
- 40代男性
- 治療期間
- 1日
- 治療回数
- 1回
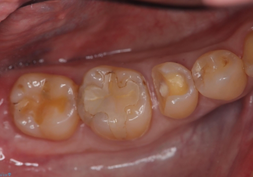
- 治療計画
- 見える部分のメタルを白くしたいとのことでご来院された患者様です。レントゲンにて確認すると、メタルの内部に二次虫歯が発生している状態でした。きちんとこれも除去し、即日にてセラミックインレーにて修復いたしました。術後の経過も良好です。
- 費用(概算)
- 165,000円(税込)費用は治療当時の料金となります
即日修復のメリット
一日で終了するため、通常必要となる仮詰めの期間がありません。このため内部の象牙質の、外部の唾液や食渣に含まれる細菌からの汚染を最小限にすることができます。
セラミック治療の注意事項(リスク・副作用など)
- 天然歯を削ります
- 硬い素材は天然歯を傷つけてしまう場合があります
- かみ合わせや歯ぎしりが強すぎる方はセラミックが割れてしまう可能性があります
- 自費診療(保険適用外治療)となります
当サイトの内容、テキスト、画像等の無断転載、複製、複写、盗用を固く禁じます。






