症例詳細
Case detail
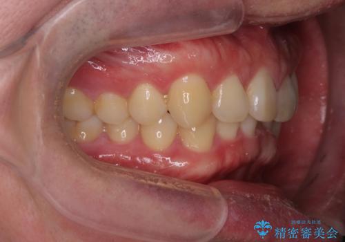
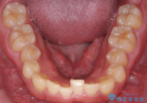
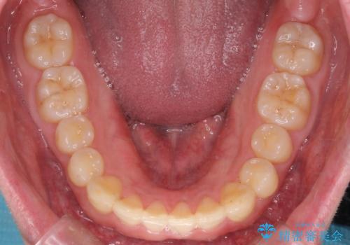
下の歯のがたつきが気になる。 インビザラン&ワイヤー部分矯正併用
治療症例の内容
- 診療科目
- 治療カテゴリ
- 担当医
- 青山卓弘(ドクタープロフィール)
- 患者様
- 30代男性
- 矯正装置
- インビザラインモデレート 部分矯正
- 治療期間
- 1年
- 治療回数
- 10-30回
- 治療計画
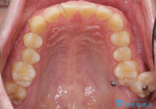
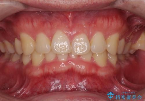
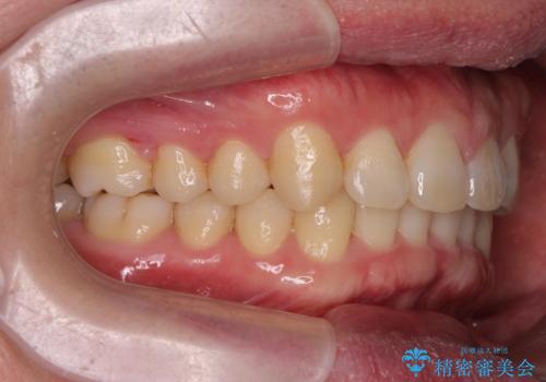
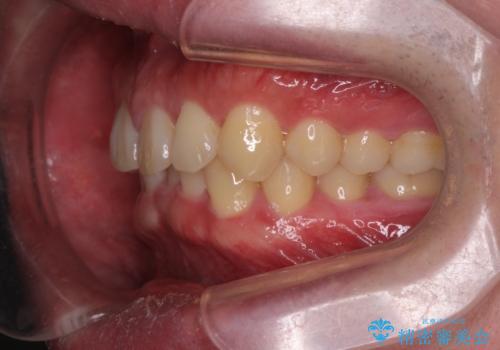
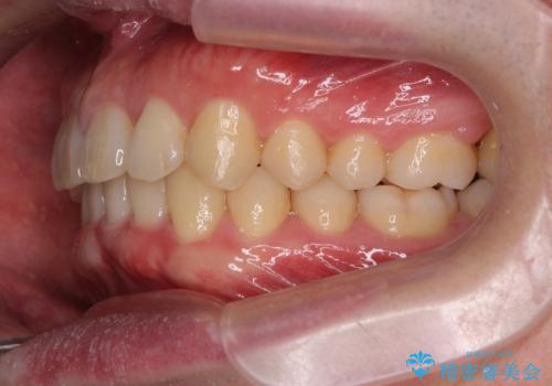
- 下の歯が気になるとの事で来院。
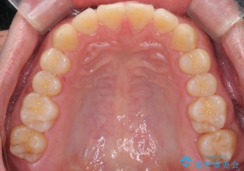
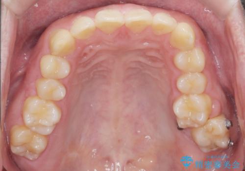
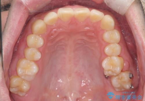
左上の奥歯がシザーバイトがありワイヤーで部分的な矯正を行い、シザーバイトを改善した後にインビザラインで全体的な矯正治療を行いました。
- 費用(概算)
- インビザラインモデレート 60.5万円 部分矯正 16.5万円費用は治療当時の料金となります
治療について
シザーバイトは歯と歯が噛み合っていないのでしっかり噛むように処置をする必要があります。
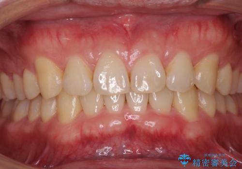
歯のがたつきが改善され大変満足されました。
マウスピース矯正の注意事項(リスク・副作用など)
- 口腔内・歯並びの状態によっては対応できない場合があります
- マウスピース型矯正装置の長時間装着(1日20時間以上)が必須です
- 治療計画通りに進めるためには、患者様の意志が重要になります
- 矯正治療後の保定が不十分だと後戻り(元の位置に戻ろうとする動き)をします
- 薬機法対象外の矯正歯科装置のため医薬品副作用被害救済制度の対象外となる場合があります
- 自費診療(保険適用外)となります
その他の注意事項(リスク・副作用など)
- 担当歯科医師、歯科衛生士又は医院スタッフから受けた説明・注意事項をよくご確認ください
- 医療を提供するに当たり、適切な説明を行い、患者様の十分な理解を得るよう努めております
当サイトの内容、テキスト、画像等の無断転載、複製、複写、盗用を固く禁じます。
















