症例詳細
Case detail
【非抜歯】歯を抜かずに歯列をコンパクトに!
治療症例の内容
- 診療科目
- 担当医
- 今村大二郎(ドクタープロフィール)
- 患者様
- 20代 女性
- 矯正装置
- マウスピース(インビザライン)
- 治療期間
- 2年2ヶ月
- 治療回数
- 10-30回
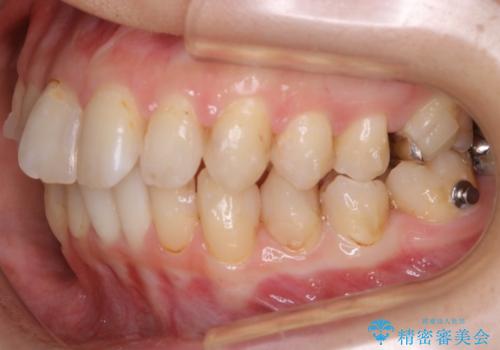
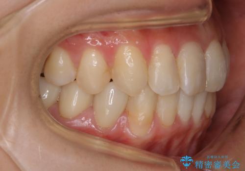
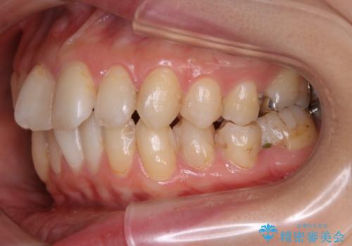
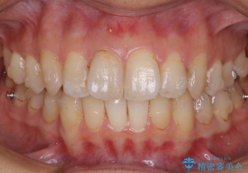
- 治療計画
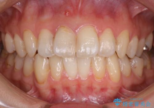
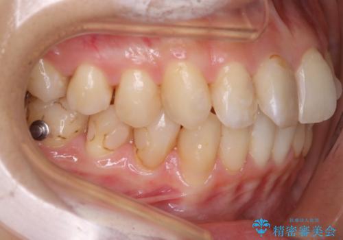
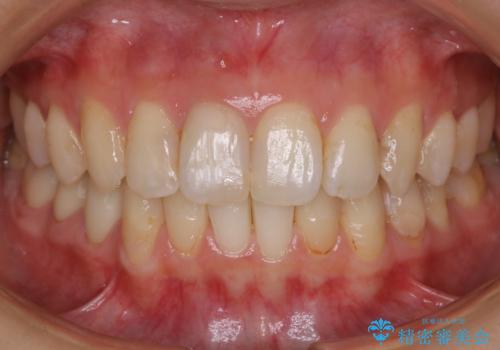
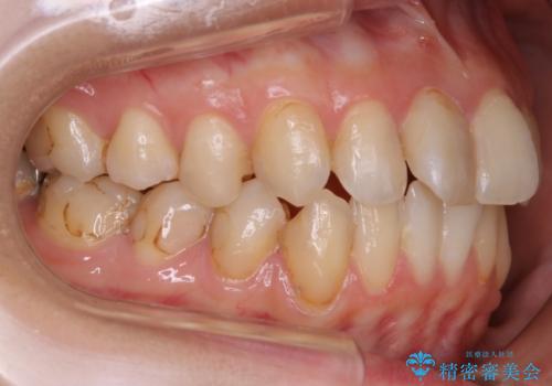
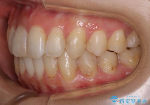
- 前歯のガタつきと噛み合わせの改善を希望してご来院されました。
目立たない装置での矯正治療をとのことでインビザラインを用いた非抜歯矯正を行うこととなりました。
虫歯の治療などが必要な部位がある場合には矯正治療に先立ち全体の状態をよくする術前治療が行われます。
- 費用(概算)
- 税込 ¥968,000- (インビザライン コンプリヘンシブパッケージ + マイクロインプラント費用)費用は治療当時の料金となります
矯正治療と術前治療
当院では矯正治療を主訴にご来院された方は治療開始前に必ず精密検査を受けていただきます。
ご本人は症状もなくご自覚がなくても実は歯周病が進行していたり、根管治療が必要な歯が見つかるということもあります。
基本的にはそういった歯周病・虫歯に対しての治療は矯正治療開始前に完治させておく必要があります。これは、矯正装置装着後は清掃不良になりやすく虫歯の進行が早まったり、歯を移動させることで歯周病や根尖病巣が悪化する恐れがあるためです。
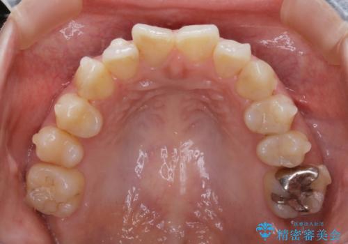
ディスキング(IPR)
歯のガタつきをとるためのスペース作りの方法の一つにディスキング(IPR)という方法があります。
歯と歯の間を一ケ所あたり最大0.5mmまでの範囲内で削ることで歯自体が少し小さくなり、それにより作られるスペースを数ヶ所分合わせることで合計で数mmの大きなスペースが作れるという方法です。
当院ではなるべく歯の機能や見た目に影響の出ないよう、作業時に拡大鏡の使用や削るタイミングの微調整を行っています。
マウスピース矯正の注意事項(リスク・副作用など)
- 口腔内・歯並びの状態によっては対応できない場合があります
- マウスピース型矯正装置の長時間装着(1日20時間以上)が必須です
- 治療計画通りに進めるためには、患者様の意志が重要になります
- 矯正治療後の保定が不十分だと後戻り(元の位置に戻ろうとする動き)をします
- 薬機法対象外の矯正歯科装置のため医薬品副作用被害救済制度の対象外となる場合があります
- 自費診療(保険適用外)となります
当サイトの内容、テキスト、画像等の無断転載、複製、複写、盗用を固く禁じます。















