症例詳細
Case detail
劣化したプラスチックをセラミックへ!
治療症例の内容
- 診療科目
- 治療カテゴリ
- 担当医
- 今村大二郎(ドクタープロフィール)
- 患者様
- 20代 女性
- 治療期間
- 1ヶ月
- 治療回数
- 2-5回
- 治療計画
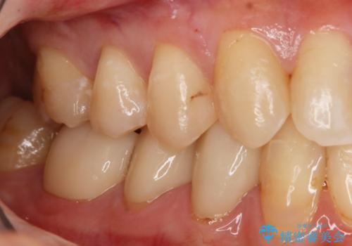
- 以前虫歯になり保険でプラスチックの詰め物をした部分の変色を主訴に、やり直しのご依頼を頂きました。
各治療法のメリット/デメリットをご説明させていただき、自費治療のセラミックインレーをご選択いただきました。
インレー治療は来院回数2回程で終了する虫歯の治療で、削る範囲も必要なエリアだけに限定できるためなるべくご自身の歯を残したい方に最適です。
- 費用(概算)
- 税込¥77,000-費用は治療当時の料金となります
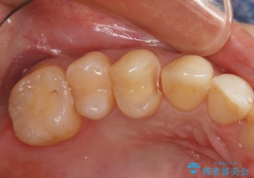
セラミックインレー
虫歯になった範囲が大きくなってくると削る範囲も比例して大きくなります。ある一定以上の大きさや範囲になった時の治療法に「インレー」というものがあり、保険の範囲では銀歯かプラスチック(適用条件有り)が、自費ではセラミックやゴールドといった素材を選ぶことができます。
セラミックやゴールドは、素材自体の劣化が非常に少なく精度も高いため、治療費はかかりますが、やり直しになる可能性を限りなく低くすることができます。
セラミック治療の注意事項(リスク・副作用など)
- 天然歯を削ります
- 硬い素材は天然歯を傷つけてしまう場合があります
- かみ合わせや歯ぎしりが強すぎる方はセラミックが割れてしまう可能性があります
- 自費診療(保険適用外治療)となります
当サイトの内容、テキスト、画像等の無断転載、複製、複写、盗用を固く禁じます。








