症例詳細
Case detail
【抜歯】インビザラインの抜歯矯正
治療症例の内容
- 診療科目
- 担当医
- 今村大二郎(ドクタープロフィール)
- 患者様
- 30代 女性
- 矯正装置
- マウスピース(インビザライン)
- 治療期間
- 2年6ヶ月
- 治療回数
- 10-30回
- 治療計画
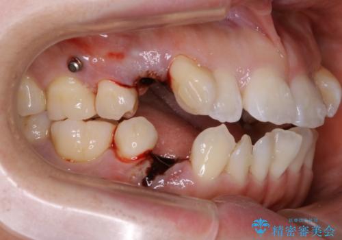
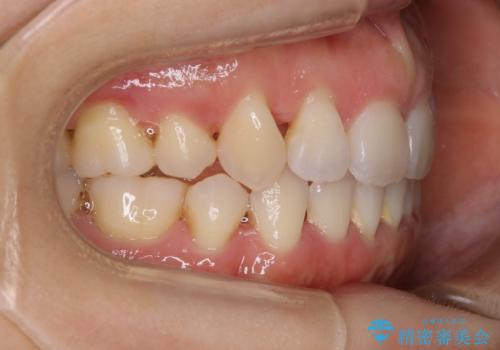
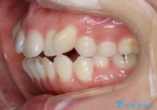
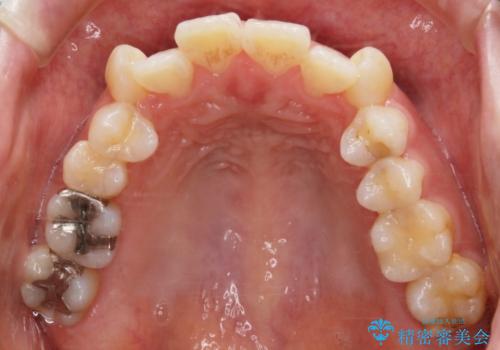
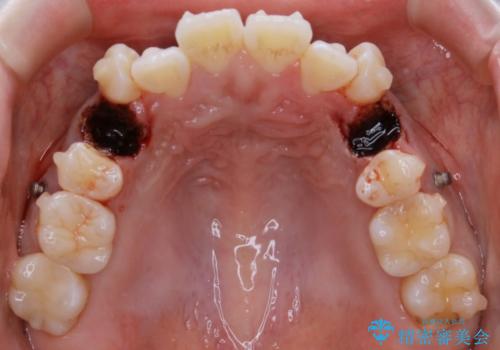
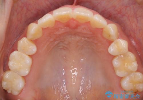
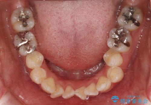
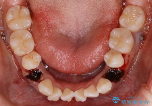
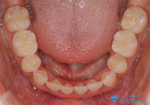
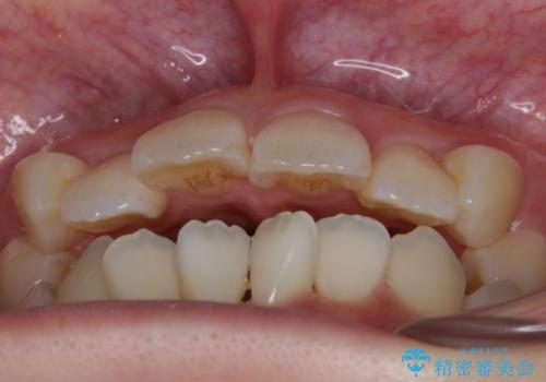
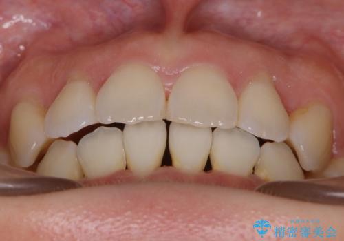
- 前歯のガタつき・噛み合わせの不調を主訴にご来院されました。
患者様のお仕事柄、目立たない装置で矯正したいとのご要望があり、今回はインビザラインを用いて抜歯矯正を行うこととなりました。
本来、抜歯によって得られる大きなスペースのコントロールはワイヤー装置の方が得意とされていますが、こちらの患者様のように犬歯が大きく手前に傾斜していて奥歯の噛み合わせにそれほど問題がないケースではマウスピース装置でも十分にコントロールできることが予測されます。
- 費用(概算)
- 税込 ¥1,045,000- (インビザライン コンプリヘンシブパッケージ + マイクロインプラント費用)費用は治療当時の料金となります
抜歯矯正
歯のガタつきの度合いが強い場合や、上下で大きく噛み合わせがズレている時などに、その改善のための大きなスペースを作る代表的手段が「抜歯」です。
一般的には第一小臼歯(犬歯の一つ隣の歯)を抜くことが多く、前歯のガタつきを改善したり口元を引っ込める場合に利用されます。
オープンバイト
臼歯の位置が高く噛んだ時に奥歯しか当たらなかったり、舌癖などが原因で前歯が前に倒れてしまうことで上下の前歯の被蓋がなくなってしまっている状態をオープンバイトといいます。前者の場合は臼歯を圧下し沈めてあげることで改善させます。後者の場合は前方に傾斜している歯を元の角度に戻してあげることで改善しますが、舌癖がある場合はその癖自体を無くす治療をしない限りまた同じ状態へと後戻りしてしまいます。
マウスピース矯正の注意事項(リスク・副作用など)
- 口腔内・歯並びの状態によっては対応できない場合があります
- マウスピース型矯正装置の長時間装着(1日20時間以上)が必須です
- 治療計画通りに進めるためには、患者様の意志が重要になります
- 矯正治療後の保定が不十分だと後戻り(元の位置に戻ろうとする動き)をします
- 薬機法対象外の矯正歯科装置のため医薬品副作用被害救済制度の対象外となる場合があります
- 自費診療(保険適用外)となります
当サイトの内容、テキスト、画像等の無断転載、複製、複写、盗用を固く禁じます。



















