症例詳細
Case detail
矯正治療で退縮した歯肉 歯肉移植による根面被覆術
治療症例の内容
- 診療科目
- 治療カテゴリ
- 担当医
- 藤巻太一朗(ドクタープロフィール)
- 患者様
- 20代男性
- 治療期間
- 4ヶ月
- 治療回数
- 2-5回
- 治療計画
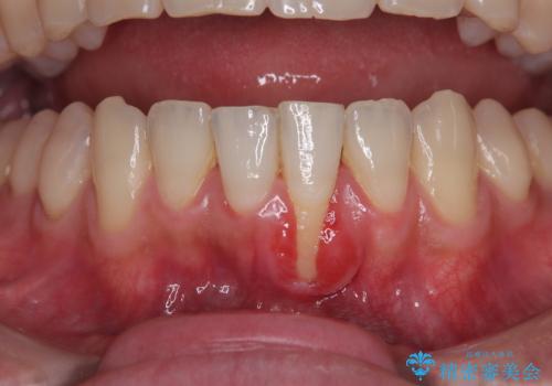
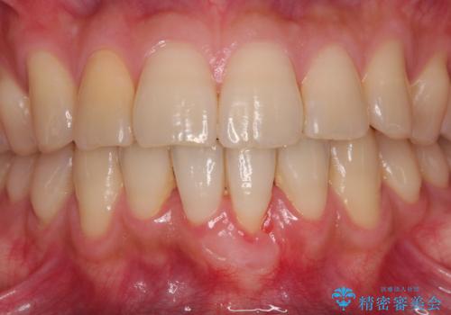
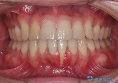
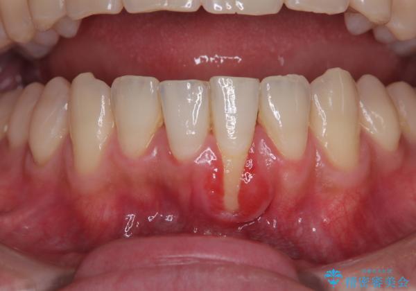
- 他院で矯正治療を終えた結果、下顎前歯の歯肉が退縮してしまい、歯根が見えていることが気になるとのことで来院された患者様です。
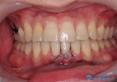
歯肉退縮に対して、上顎からの結合組織移植術(CTG)により、歯根の被覆を行うとともに、歯肉の厚みを増すことで将来の退縮リスクを抑制することとしました。
被覆量が不十分の場合には、追加で手術を行うことで患者様の了解を得ました。
- 費用(概算)
- 11万円(税込)費用は治療当時の料金となります
治療について
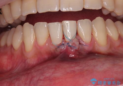
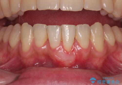
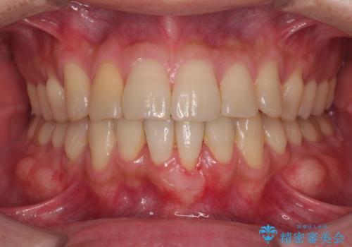
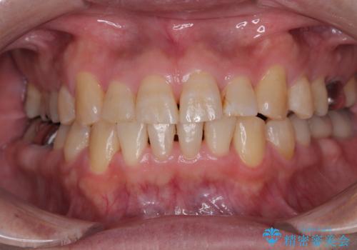
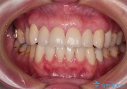
一度の処置で十分に根面被覆ができました。
舌側に歯石が溜まりやすく、やや出血が認められるため、定期的なクリーニングが大切となってきます。
歯周病治療の注意事項(リスク・副作用など)
- 外科手術のため、術後に痛みや腫れ、違和感を伴います
- 歯周組織再生治療は患者様の状態によって術後の経過が異なります(見た目が改善しない場合もあります)
- 歯周組織再生治療は自費診療(保険適用外)となります
当サイトの内容、テキスト、画像等の無断転載、複製、複写、盗用を固く禁じます。











