症例詳細
Case detail
銀歯の周りがむし歯に ゴールドインレーによるむし歯治療
治療症例の内容
- 診療科目
-
- 治療カテゴリ
-
- 担当医
- 藤巻太一朗(ドクタープロフィール)
- 患者様
- 60代女性
- 治療期間
- 1ヶ月
- 治療回数
- 2-5回
- 治療計画
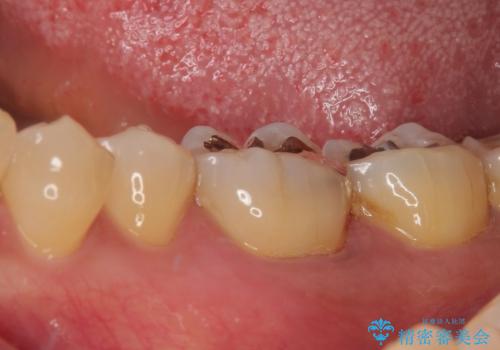
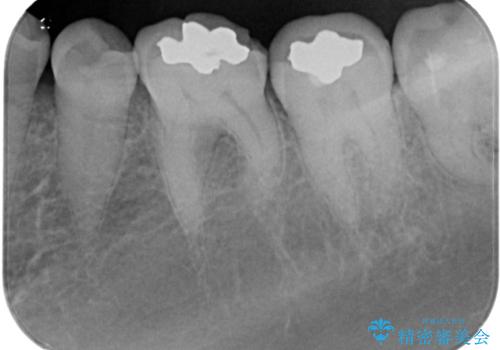
- 銀歯の周りに物が挟まるとのことで来院された患者様です。
咬合力が強く、銀歯周りの歯質に隙間が生じてむし歯になっている状態でした。
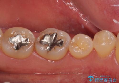
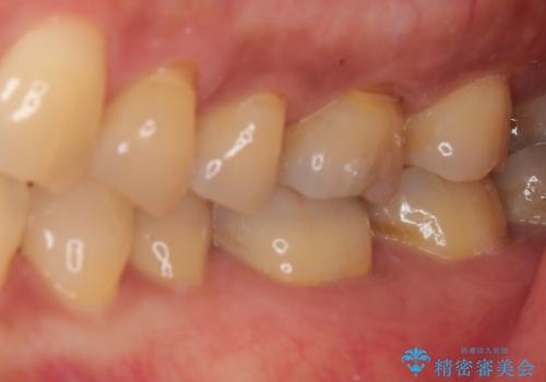
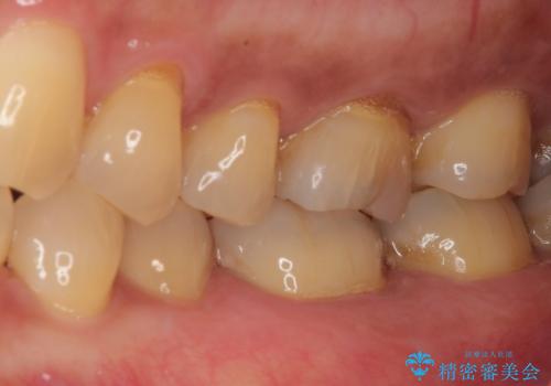
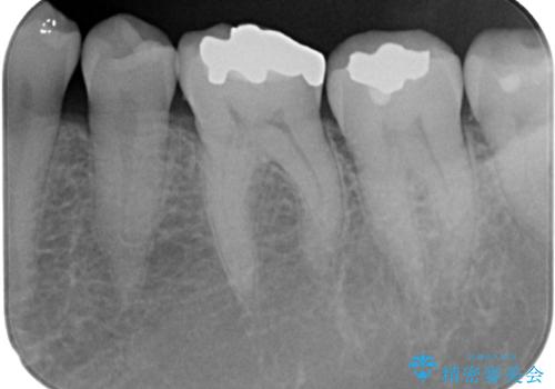
むし歯をしっかりと取り除き、強い咬合力を考慮してゴールドインレーにて修復することとしました。
- 費用(概算)
- 11万円(税込)費用は治療当時の料金となります
治療について
ゴールドインレーは銀歯のインレーやセラミックインレーと比べ、「技工操作の精度が高く、適合が著しく良い」というメリットがあります。特に「適合の良さ」は再治療のリスクを防ぐ上でとても重要な要素となります。
咬み心地はとても良好で、全く違和感がなく、患者様には大変満足していただきました。
PGA(ゴールド)クラウン、インレーの注意事項(リスク・副作用など)
- インレーおよびクラウンは脱離するリスクがあります
- 形成量はセラミックより少ないですが、歯の形成、修復後に歯に症状が出ることがあります
- 自費診療(保険適用外治療)となります
当サイトの内容、テキスト、画像等の無断転載、複製、複写、盗用を固く禁じます。










