症例詳細
Case detail
ぐらぐらする奥歯 短期間インプラント治療
治療症例の内容
- 診療科目
-
- 治療カテゴリ
-
- 担当医
- 藤巻太一朗(ドクタープロフィール)
- 患者様
- 50代男性
- 治療期間
- 5ヶ月
- 治療回数
- 10-30回
- 治療計画
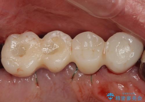
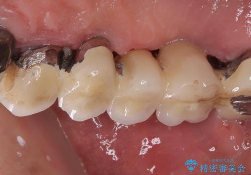
- 奥歯がぐらぐらして噛めないとのことで来院された患者様です。
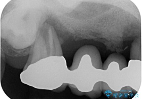
ブリッジの土台となっている歯は全て抜歯が必要な状態であったため、事前に仮歯を用意して、極力抜歯と同時にインプラントを埋入し、速やかに仮歯を装着して噛めるように処置を進めて行くこととしました。
手前の歯は骨の欠損が著しいため、抜歯後暫く待ってから埋入を行うこととしました。
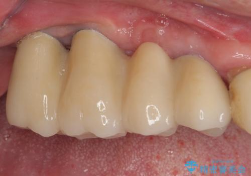
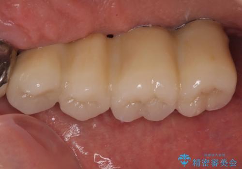
インプラントが無事に生着した後に、オールセラミッククラウンにて補綴治療を行うこととしました。
- 費用(概算)
- 145万円(税込)費用は治療当時の料金となります
治療について
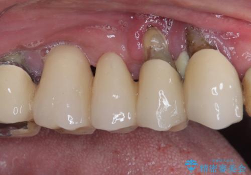
後方2本を先に埋入し、即日で仮歯を装着しましたが、徐々にインプラントが骨内で緩んでしまい、手前のインプラント埋入時に再埋入することとなりました。
再埋入後は緩くなることもなく、無事に補綴治療を行うことができました。
従来のように仮歯がない時期があったり、骨造成を行ったりという、期間、費用、日常生活に負担をかけることがなくなり、スムーズに治療を終えることができました。
インプラント治療の注意事項(リスク・副作用など)
- 外科手術のため、術後に痛みや腫れ、違和感を伴います
- メンテナンスを怠ったり喫煙により、お口の中に大きな悪影響を及ぼすインプラント周囲炎等にかかる可能性があります
- 糖尿病、肝硬変、心臓病等の場合、インプラント治療ができない可能性があります
- 高血圧、貧血・不整脈等の場合、インプラント治療後に治癒不全を招く可能性があります
- 自費診療(保険適用外治療)となります
セラミック治療の注意事項(リスク・副作用など)
- 天然歯を削ります
- 硬い素材は天然歯を傷つけてしまう場合があります
- かみ合わせや歯ぎしりが強すぎる方はセラミックが割れてしまう可能性があります
- 自費診療(保険適用外治療)となります
当サイトの内容、テキスト、画像等の無断転載、複製、複写、盗用を固く禁じます。


















