症例詳細
Case detail
銀歯が取れた 〈セラミックインレー〉
治療症例の内容
- 診療科目
- 治療カテゴリ
- 担当医
- 瀧村怜未(ドクタープロフィール)
- 患者様
- 60代女性
- 治療期間
- 1ヶ月
- 治療回数
- 2-5回
- 治療計画
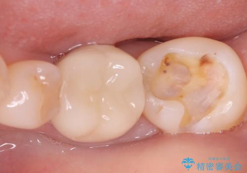
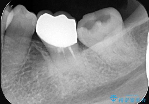
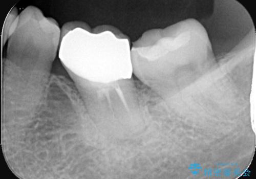
- 銀歯が取れたとのことで来院されました。中で虫歯が広がっている状態でした。材料の特徴を説明し、セラミックインレーでの修復となりました。
- 費用(概算)
- 77,000円費用は治療当時の料金となります
治療について
接着時にはラバーダム防湿を行いました。
セラミック治療の注意事項(リスク・副作用など)
- 天然歯を削ります
- 硬い素材は天然歯を傷つけてしまう場合があります
- かみ合わせや歯ぎしりが強すぎる方はセラミックが割れてしまう可能性があります
- 自費診療(保険適用外治療)となります
当サイトの内容、テキスト、画像等の無断転載、複製、複写、盗用を固く禁じます。





