症例詳細
Case detail
奥歯の虫歯を直したい セラミックインレー
治療症例の内容
- 診療科目
- 治療カテゴリ
- 担当医
- 小澤俊哉(ドクタープロフィール)
- 患者様
- 20代女性
- 治療期間
- 治療回数
- 2-5回
- 治療計画
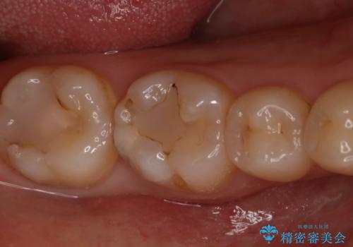
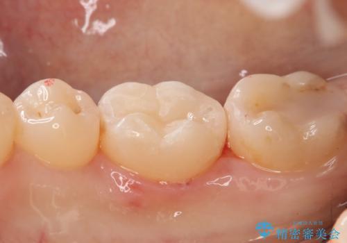
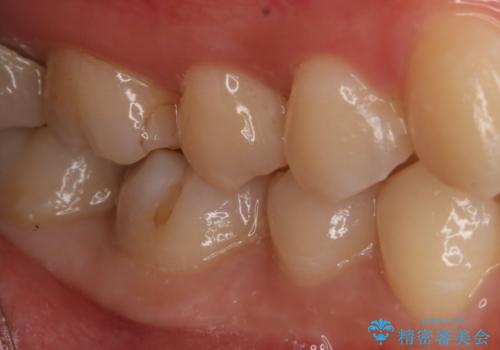
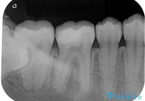
- 右下大臼歯の保険材料劣化に伴う虫歯の治療を希望された患者さまです。
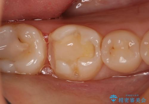
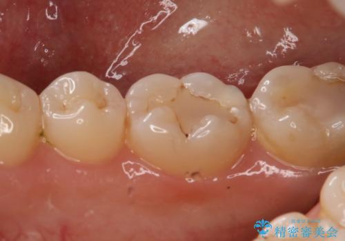
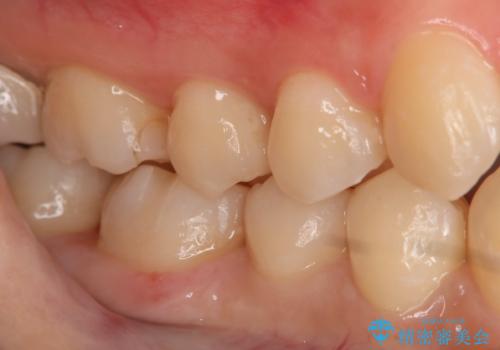
審美性や精度の高い治療を希望されたので切削量や形態を考慮し、セラミックインレーでの治療を選択しました。
- 費用(概算)
- 77000円費用は治療当時の料金となります
治療について
保険治療で使用される材料は劣化しやすく直下で虫歯が進行していることが多いです。
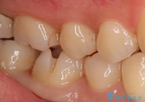
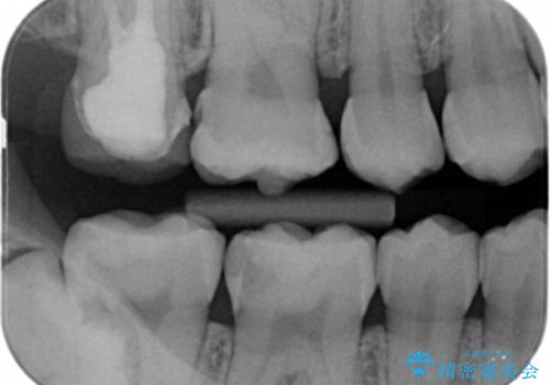
今回の患者さまは遠心部の虫歯が深かったのでCRで裏層した上で形成・印象を行いインレーセットを行っています。
セラミック治療の注意事項(リスク・副作用など)
- 天然歯を削ります
- 硬い素材は天然歯を傷つけてしまう場合があります
- かみ合わせや歯ぎしりが強すぎる方はセラミックが割れてしまう可能性があります
- 自費診療(保険適用外治療)となります
当サイトの内容、テキスト、画像等の無断転載、複製、複写、盗用を固く禁じます。











