症例詳細
Case detail
【セラミックインレー】口の中から金属を無くしたい
治療症例の内容
- 診療科目
- 治療カテゴリ
- 担当医
- 町田睦月(ドクタープロフィール)
- 患者様
- 40代女性
- 治療期間
- 治療回数
- 2-5回
- 治療計画
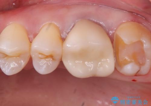
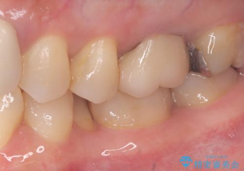
- 主訴:昔入れた銀の詰め物を白い物に替えて金属を無くしたい。
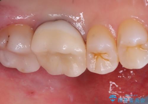
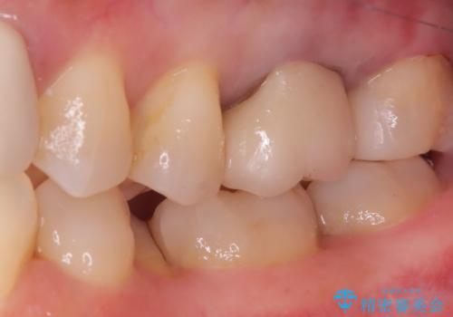
審美性、適合性の観点からセラミックインレーでのやり替えとなりました。
- 費用(概算)
- 77,000円費用は治療当時の料金となります
治療について
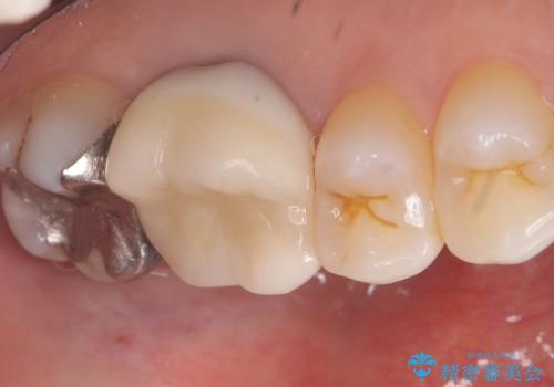
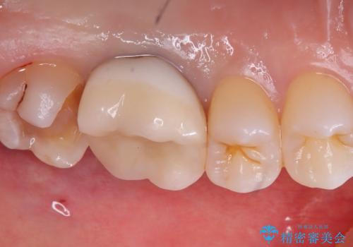
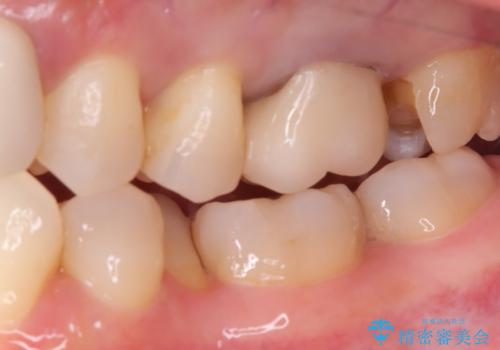
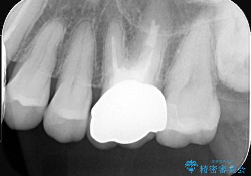
保険適用のメタルインレーを除去した際、下に広がっているカリエスも除去し形成印象を行いました。
セラミックインレーセット時はラバーダム防湿を行っています。
セラミック治療の注意事項(リスク・副作用など)
- 天然歯を削ります
- 硬い素材は天然歯を傷つけてしまう場合があります
- かみ合わせや歯ぎしりが強すぎる方はセラミックが割れてしまう可能性があります
- 自費診療(保険適用外治療)となります
当サイトの内容、テキスト、画像等の無断転載、複製、複写、盗用を固く禁じます。












