症例詳細
Case detail
昔の被せ物が取れてしまった セラミックアンレーで治療
治療症例の内容
- 診療科目
- 治療カテゴリ
- 担当医
- 榊原康平(ドクタープロフィール)
- 患者様
- 30代女性
- 治療期間
- 1ヶ月
- 治療回数
- 2-5回
- 治療計画
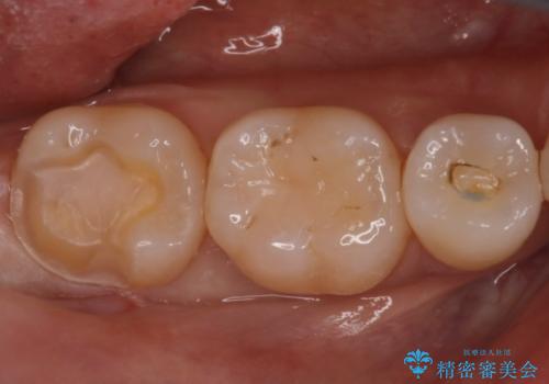
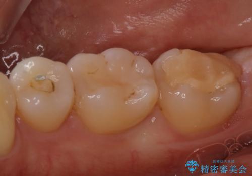
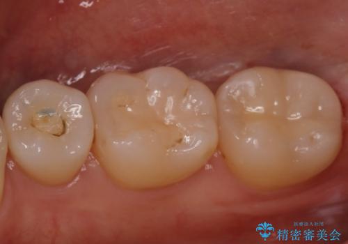
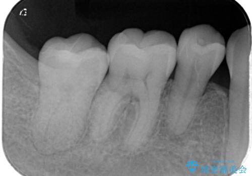
- 昔に治療した金属のかぶせものが取れてしまい来院されました。他院にて応急処置がされており、レントゲンなどで現状を把握した後、切削量が比較的少なく短期間で終了するセラミックアンレーにて治療いたしました。
- 費用(概算)
- 77000円費用は治療当時の料金となります
治療について
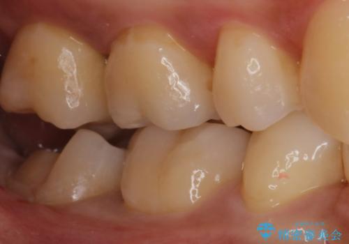
経過良好で噛み合わせなども問題なく、前の被せ物より綺麗な被せ物がセットされ、非常に満足いただけました。
セラミック治療の注意事項(リスク・副作用など)
- 天然歯を削ります
- 硬い素材は天然歯を傷つけてしまう場合があります
- かみ合わせや歯ぎしりが強すぎる方はセラミックが割れてしまう可能性があります
- 自費診療(保険適用外治療)となります
当サイトの内容、テキスト、画像等の無断転載、複製、複写、盗用を固く禁じます。










