症例詳細
Case detail
食べ物がよくはさまる セラミックインレーで清掃しやすい環境に
治療症例の内容
- 診療科目
- 治療カテゴリ
- 担当医
- 榊原康平(ドクタープロフィール)
- 患者様
- 30代男性
- 治療期間
- 1ヶ月
- 治療回数
- 2-5回
- 治療計画
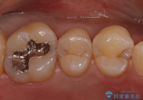
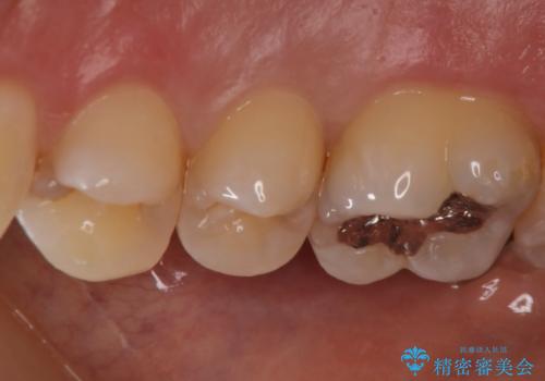
- 歯によく繊維質なものがはさまることが気になり来院されました。レントゲン等から隣接カリエス(歯間にできるう蝕)があることが分かり、清掃性が高く、審美的なセラミックインレーで治療を行いました。
- 費用(概算)
- 231000円費用は治療当時の料金となります
治療について
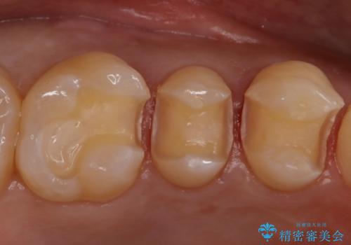
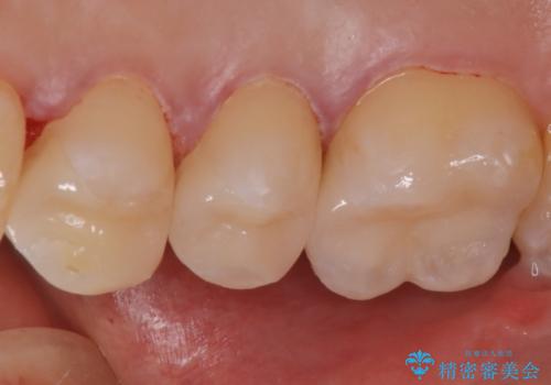
セラミックインレーのセット後は、食べ物がはさまることがなくなり、経過も良好で口腔内の環境もいい状態を保てています。
セラミック治療の注意事項(リスク・副作用など)
- 天然歯を削ります
- 硬い素材は天然歯を傷つけてしまう場合があります
- かみ合わせや歯ぎしりが強すぎる方はセラミックが割れてしまう可能性があります
- 自費診療(保険適用外治療)となります
当サイトの内容、テキスト、画像等の無断転載、複製、複写、盗用を固く禁じます。








