症例詳細
Case detail
ホワイトニングしようと思っていたが、クリーニングで済んだ!
治療症例の内容
- 診療科目
- 治療カテゴリ
- 患者様
- 40代男性
- 治療期間
- 1日
- 治療回数
- 1回
- 治療計画
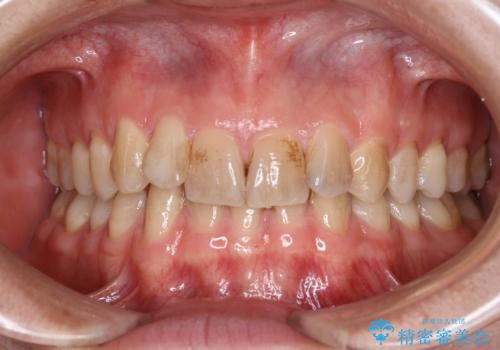
- 歯の色が気になり、ホワイトニングを考えているとのことで来院されました。
ホワイトニングは、歯の表面の汚れや着色を全て除去してからでないと効果が出にくいため、まずはクリーニングのご案内をしました。
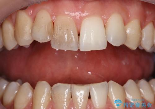
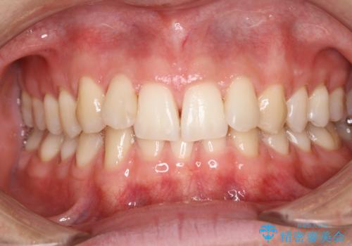
エアフロー60分コースを行いました。
着色の除去後に、ご自身の本来の歯の色をご確認していただいたところ、この状態で満足とのことでした。
- 費用(概算)
- ¥14300税込み費用は治療当時の料金となります
クリーニングとは
歯のクリーニングとは歯垢や歯石、表面の着色を取り除くことです。歯垢は食べかすや唾液、日々の歯みがきでの磨き残し等の細菌が混ざり合ってできるやわらかい汚れで、歯石は歯垢が固まってできた硬い汚れのことを指します。
歯垢や歯石はブラッシングやフロスでのセルフケアのみではすべて取り除けないため、歯科医院で専門的なクリーニングで除去が必要です。
クリーニングは、汚れの除去を行いますので歯を白くする処置ではありません。ご自身本来の歯の色にすることが可能です。
ホワイトニングとは
ホワイトニングは、薬剤を歯に塗布することで歯の内部の色素を分解して漂白することができます。
薬剤に含まれる有効成分(過酸化水素・過酸化尿素)には、歯を痛めることなく白くする効果があります。
まずはカウンセリングをおすすめします
クリーニングをすべきなのか、ホワイトニングをすべきなのかは、お口の中の状態やご自身のご希望などにより変わります。
そのため、まずはカウンセリングでご相談することも可能です。
担当
渋谷しらゆり歯科 DH橋川
PMTCの注意事項(リスク・副作用など)
- 歯を白くする目的の施術ではありません
- 保険適用外となります
当サイトの内容、テキスト、画像等の無断転載、複製、複写、盗用を固く禁じます。






