症例詳細
Case detail
歯茎が下がっているかたエアーフローを特にお勧めします
治療症例の内容
- 診療科目
- 治療カテゴリ
- 患者様
- 60代
- 治療期間
- 1日
- 治療回数
- 1回
- 治療計画
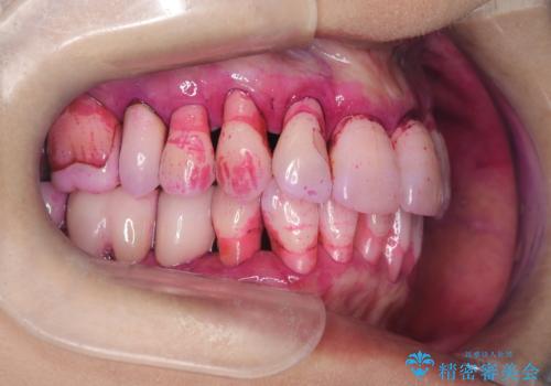
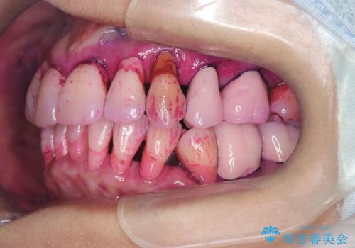
- 歯周病で歯茎が下がり根っこの部分が見えている状態で3か月のメンテナンスをコンスタントに通われている方です。
ブラッシングは歯間ブラシや部分歯ブラシなどの補助道具も使用し時間をかけて丁寧に磨いていらっしゃるのですが、ブラッシング圧に気を付けながらの為バイオフィルムが根っこの部分に残っているのです。
- 費用(概算)
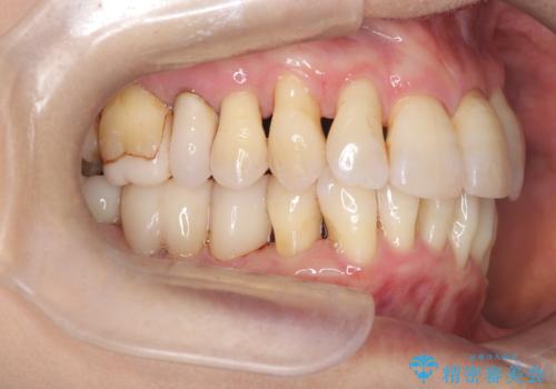
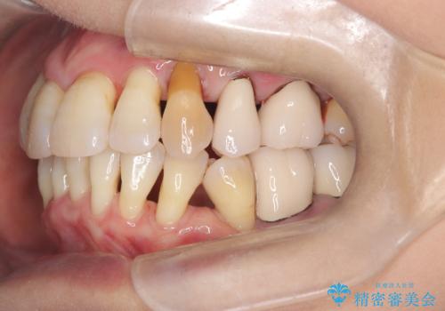
- エアフロー 7,700円費用は治療当時の料金となります
治療について
いつも時間をかけて丁寧に磨いていらっしゃるようですが染め出しをしてみると歯茎が下がっている部位はバイオフィルムの付着が見られました。
患者さまに説明してエアーフロー施術しこれから定期的に施術希望になりました。
DH浅川
その他の注意事項(リスク・副作用など)
- 担当歯科医師、歯科衛生士又は医院スタッフから受けた説明・注意事項をよくご確認ください
- 医療を提供するに当たり、適切な説明を行い、患者様の十分な理解を得るよう努めております
当サイトの内容、テキスト、画像等の無断転載、複製、複写、盗用を固く禁じます。






