症例詳細
Case detail
【セラミックインレー】口の中の銀の詰め物を白い物に替えたい
治療症例の内容
- 診療科目
- 治療カテゴリ
- 担当医
- 町田睦月(ドクタープロフィール)
- 患者様
- 40代女性
- 治療期間
- 治療回数
- 2-5回
- 治療計画
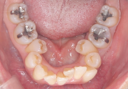
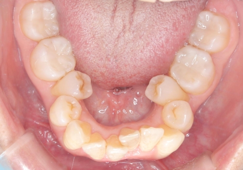
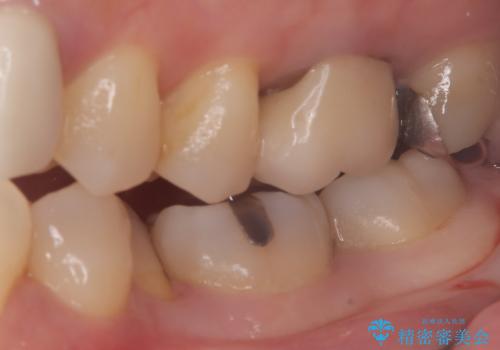
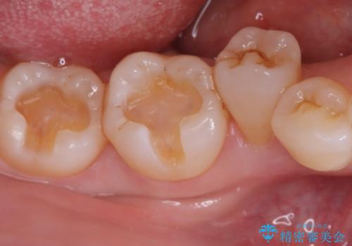
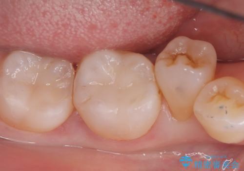
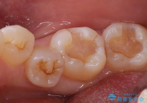
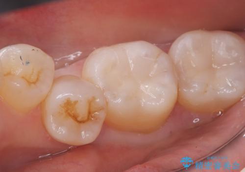
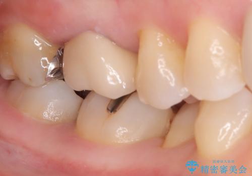
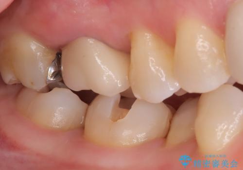
- 主訴:口を開けると所々入っている銀の詰め物が目立つので白い物にやり替えたい。
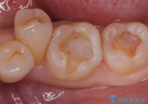
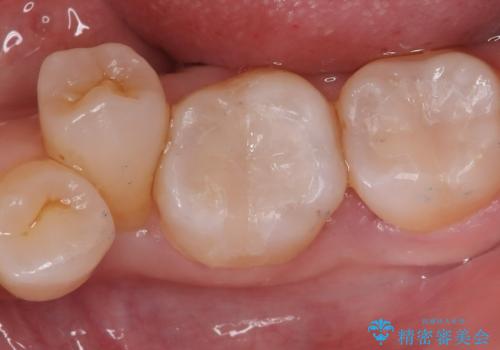
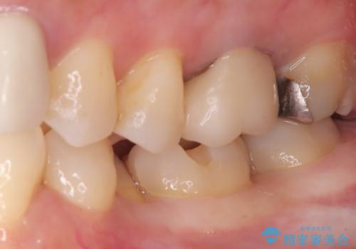
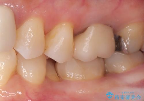
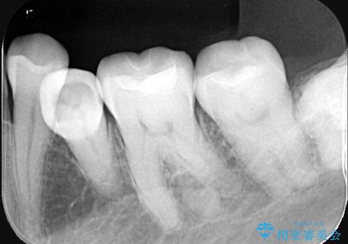
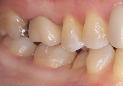
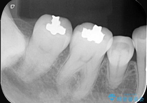
下顎大臼歯部に入っている保険適用のメタルインレーを、適合性と審美性の良いセラミックインレーでのやり替えとなりました。
- 費用(概算)
- 277,200円(税込み)費用は治療当時の料金となります
※顔写真掲載にあたり、患者様の了解を得ております
治療について
メタルフリーモニター適用(10%Off)
メタルインレーを除去した際、古い裏層材やカリエスは除去し新たにCR裏層しています。
セラミックインレーセット時はラバーダム防湿を行っています。
セラミック治療の注意事項(リスク・副作用など)
- 天然歯を削ります
- 硬い素材は天然歯を傷つけてしまう場合があります
- かみ合わせや歯ぎしりが強すぎる方はセラミックが割れてしまう可能性があります
- 自費診療(保険適用外治療)となります
当サイトの内容、テキスト、画像等の無断転載、複製、複写、盗用を固く禁じます。
























