症例詳細
Case detail
【セラミックインレー】笑うと銀の詰め物が目立つ
治療症例の内容
- 診療科目
- 治療カテゴリ
- 担当医
- 町田睦月(ドクタープロフィール)
- 患者様
- 40代女性
- 治療期間
- 1ヶ月
- 治療回数
- 2-5回
- 治療計画
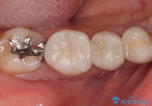
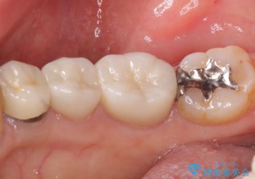
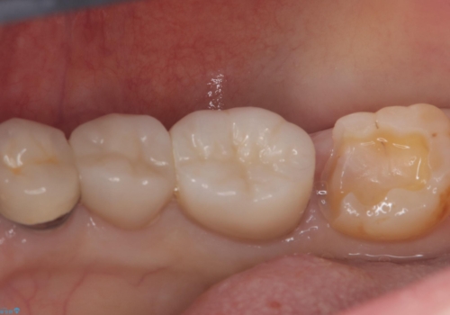
- 主訴:下の歯に詰まっている銀が笑うと見えて嫌だから白くしたい
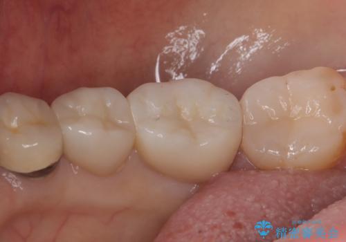
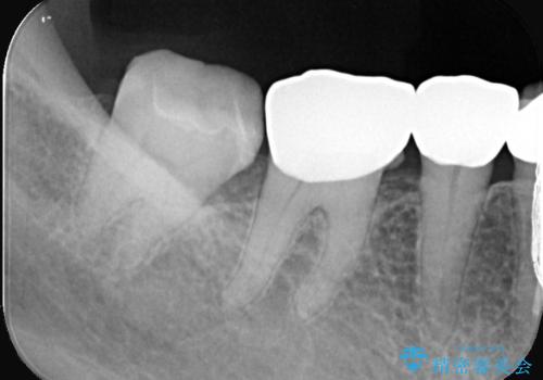
右下7番目の歯に保険適用のメタルインレーが入っており、大きなう蝕などは認めなかったため概形は大きく変えずセラミックインレーへやり替えとなりました。
- 費用(概算)
- 770,000円(税込み)費用は治療当時の料金となります
治療について
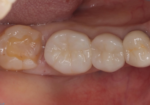
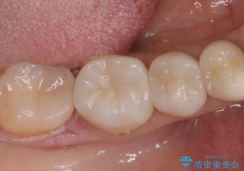
やり替える過程で古い裏層材やカリエスは全て除去し、新たにCR裏層を行っています。
セラミックインレーセット時はラバーダム防湿を行っています。
セラミック治療の注意事項(リスク・副作用など)
- 天然歯を削ります
- 硬い素材は天然歯を傷つけてしまう場合があります
- かみ合わせや歯ぎしりが強すぎる方はセラミックが割れてしまう可能性があります
- 自費診療(保険適用外治療)となります
当サイトの内容、テキスト、画像等の無断転載、複製、複写、盗用を固く禁じます。








