症例詳細
Case detail
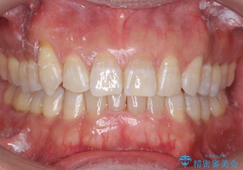
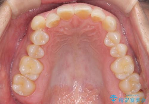
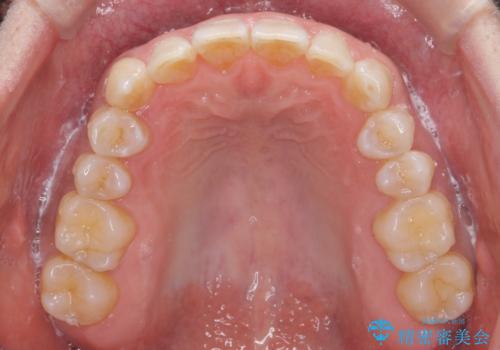
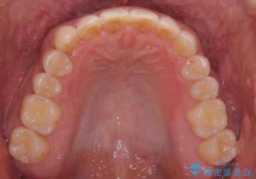
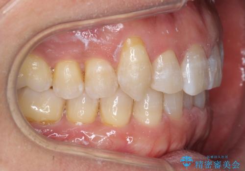
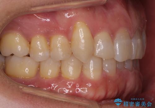
八重歯と下の歯のがたつき マウスピースで
治療症例の内容
- 診療科目
- 治療カテゴリ
- 担当医
- 井上季実子(ドクタープロフィール)
- 患者様
- 30代男性
- 矯正装置
- インビザライン
- 治療期間
- 1年
- 治療回数
- 10-30回
- 治療計画
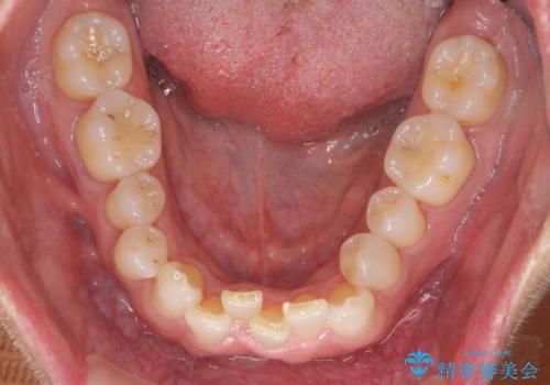
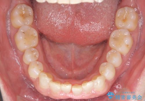
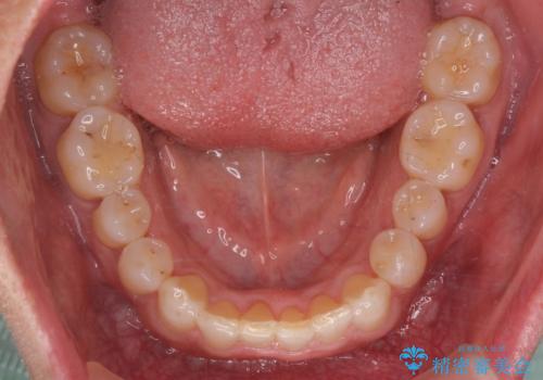
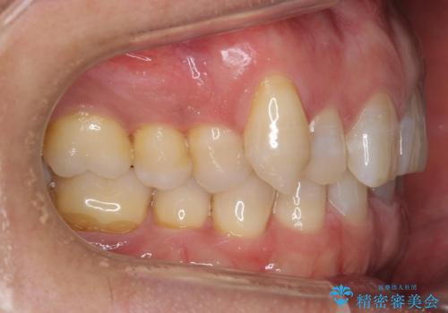
- 右上の犬歯が目立つのが気になる、下の歯並びも治したいとのことで来院。
歯を抜かずに少し削って小さくして並べました。
- 費用(概算)
- 85万円費用は治療当時の料金となります
治療について
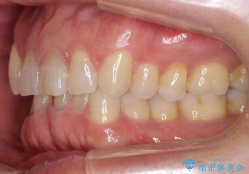
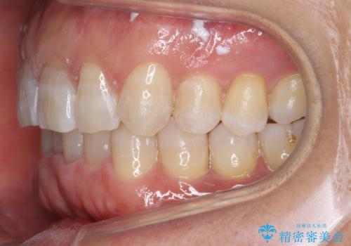
並びも良くなり、患者様にも喜んでいただきました。
右上の犬歯の歯肉退縮自体は進行する可能性をお伝えしておりましたが、特に変化なく治療できました。
歯肉退縮につきましては、歯ぐきの移植を提案しましたが特に希望されませんでした。
マウスピース矯正の注意事項(リスク・副作用など)
- 口腔内・歯並びの状態によっては対応できない場合があります
- マウスピース型矯正装置の長時間装着(1日20時間以上)が必須です
- 治療計画通りに進めるためには、患者様の意志が重要になります
- 矯正治療後の保定が不十分だと後戻り(元の位置に戻ろうとする動き)をします
- 薬機法対象外の矯正歯科装置のため医薬品副作用被害救済制度の対象外となる場合があります
- 自費診療(保険適用外)となります
当サイトの内容、テキスト、画像等の無断転載、複製、複写、盗用を固く禁じます。

















