症例詳細
Case detail
セラミックインレー 虫歯の治療
治療症例の内容
- 診療科目
- 治療カテゴリ
- 担当医
- 瀧村怜未(ドクタープロフィール)
- 患者様
- 50代女性
- 治療期間
- 1ヶ月
- 治療回数
- 2-5回
- 治療計画
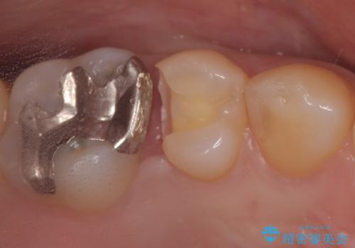
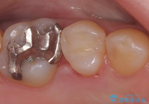
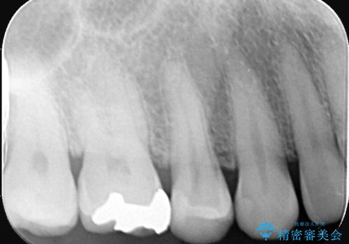
- 定期健診で虫歯が見つかり、治療が必要となりました。材料の物性を説明し、セラミックインレーでの治療となりました。
- 費用(概算)
- 77000円費用は治療当時の料金となります
治療について
接着操作時にはラバーダム防湿を行いました。
セラミック治療の注意事項(リスク・副作用など)
- 天然歯を削ります
- 硬い素材は天然歯を傷つけてしまう場合があります
- かみ合わせや歯ぎしりが強すぎる方はセラミックが割れてしまう可能性があります
- 自費診療(保険適用外治療)となります
当サイトの内容、テキスト、画像等の無断転載、複製、複写、盗用を固く禁じます。





